Trám răng là một phương pháp điều trị sâu răng rất phổ biến hiện nay. Nhiều người thường đặt câu hỏi liệu trám răng có đau không? Cùng tìm hiểu trám răng là gì, quy trình trám răng như thế nào qua bài viết dưới đây nhé!
1 Trám răng là gì?
Trám răng là phương pháp sử dụng vật liệu (chẳng hạn như inlay/onlay sứ hoặc composite) có tính chất cứng, chắc, phù hợp với môi trường răng miệng đưa vào phần răng bị hư hỏng hoặc bị sâu để phục hồi hình dạng và chức năng ban đầu của nó.
Trám răng được sử dụng phổ biến nhất để ngăn ngừa tổn thương tăng thêm cho răng khi bị sâu răng. Bằng cách loại bỏ vi khuẩn và cô đọng lại khu vực bị ảnh hưởng, trám răng khiến cho tình trạng sâu răng không thể tiến triển.[1]

Trám răng là một phương pháp điều trị sâu răng phổ biến
2 Các loại vật liệu trám răng?
Ngày nay, có nhiều vật liệu trám răng có sẵn, được sử dụng phổ biến trong nha khoa. Răng có thể được trám bằng vàng, đồ sứ, bạc (bao gồm thủy ngân trộn với bạc, thiếc, kẽm và đồng), hoặc một vật liệu được gọi là composite.
Trám vàng
Ưu điểm:
- Độ bền: Kéo dài ít nhất 10 đến 15 năm và có thể lâu hơn, không bị ăn mòn.
- Độ cứng: có thể chịu đựng được lực nhai lớn.
- Tính thẩm mỹ: một số bệnh nhân sẽ thấy việc trám bằng vàng đẹp mắt hơn so với trám bằng nguyên liệu thông thường khác.
Nhược điểm:
- Chi phí: Miếng trám được đúc bằng vàng sẽ đắt hơn so với các vật liệu khác (ví dụ: cao gấp 10 lần so với trám amalgam bạc).
- Giật điện: miếng trám vàng được đặt ngay bên cạnh miếng trám bạc có thể gây ra cảm giác đau nhói (sốc điện) xảy ra. Sự tương tác giữa kim loại và nước bọt có thể gây ra dòng điện. Tuy nhiên, đây là một sự hiện tượng hiếm gặp.
- Tính thẩm mỹ: nhiều bệnh nhân không thích miếng trám "có màu" kim loại và thích miếng trám có màu phù hợp với phần còn lại của răng.[2]

Trám vàng có chi phí khá là đắt đỏ
Trám bạc (Amalgams)
Ưu điểm:
- Độ bền: trám bạc có thể kéo dài ít nhất 10 đến 15 năm và thường tồn tại lâu hơn trám composite.
- Độ cứng: có thể chịu được tốt lực nhai thông thường và lực nhai mạnh.
- Chi phí: có thể rẻ hơn trám composite.
Nhược điểm:
- Tính thẩm mỹ kém: miếng trám bạc thường không trùng với màu răng tự nhiên.
- Phá hủy cấu trúc răng nhiều hơn: những phần khỏe mạnh của răng thường phải được loại bỏ giúp tạo khoảng trống đủ lớn để chứa chất trám bạc amalgams.
- Đổi màu: có thể tạo ra màu xám cho cấu trúc răng xung quanh.
- Các vết nứt và gãy: có thể khiến răng bị nứt hoặc gãy. Vật liệu bạc amalgams so với các vật liệu trám khác có thể bị giãn nở hoặc co lại, dẫn đến tỷ lệ nứt gãy cao hơn.
- Phản ứng dị ứng: chiếm tỷ lệ nhỏ khoảng 1%.[2]

Trám bạc có độ bền dài hơn và rẻ hơn so với composite
Trám Composite
Ưu điểm
- Tính thẩm mỹ: màu sắc của miếng trám composite có màu sắc gần giống với màu răng thực tế.
- Liên kết với cấu trúc răng: vật liệu trám composite liên kết tốt với cấu trúc răng, hỗ trợ thêm sự chắc chắn sau khi trám.
- Tính linh hoạt: ngoài việc sử dụng làm vật liệu trám răng sâu, trám composite còn có thể được sử dụng để sửa chữa răng bị sứt mẻ, gãy hoặc mòn.
- Trước khi trám: cần loại bỏ thân răng ít hơn so với trám bạc.
Nhược điểm
- Thiếu độ bền: trám composite bị mòn sớm hơn trám bạc (kéo dài ít nhất 5 năm). Ngoài ra, chúng có thể không tồn tại lâu như trám bạc dưới áp lực nhai lớn và đặc biệt nếu được sử dụng cho các lỗ sâu răng lớn.
- Tăng thời gian thực hiện: thời gian thực hiện có thể dài hơn 20 phút so với trám bạc.
- Sứt mẻ răng: do quá trình trám răng cần nhiều kỹ thuật nên có thể làm tổn thương răng.
- Chi phí: chi phí trám composite cao gấp đôi trám bạc. [2]

Trám composite có thể tạo màu giống như răng tự nhiên
Trám sứ
Ưu điểm
- Độ bền: cao, kéo dài ít nhất từ 10 đến 15 năm.
- Khắc phục các vấn đề răng miệng hay gặp như răng sâu, răng xỉn màu, răng thưa,...
Nhược điểm
- Độ nhạy cảm của răng giảm: từ đó khiến chất lượng cuộc sống giảm đi do ít cảm nhận được thức ăn.
- Độ cứng: không cắn được những thức ăn quá cứng.
- Gây hại cho răng: do khi mài răng có thể tổn thương tủy răng.
- Chi phí cao: chi phí tương tự tráng vàng.[2]

Trám sứ có chi phí cao
3 Quy trình trám răng
Có 8 bước cơ bản của một quy trình trám răng nếu bạn cần biết:
Bước 1 (có thể có hoặc không)
Khu vực xung quanh răng bị ảnh hưởng sẽ được làm tê liệt, mất cảm giác bằng cách tiêm thuốc gây tê như lidocain vào nướu hoặc bên trong má để làm mất cảm giác đau tại chỗ.
Kim có thể được đưa vào một số khu vực khác nhau như xung quanh răng, nhưng quá trình này chỉ mất khoảng một phút và ít gây cảm giác đau.[3]

Đầu tiên là cần phải chích thuốc tê
Bước 2
Nha sĩ sẽ đợi vài phút cho đến khi khu vực này được gây tê đáng kể, gần như không còn cảm giác.
Bước 3
Nha sĩ sẽ dùng một mũi khoan hoặc tia laser sẽ được sử dụng để loại bỏ những vùng răng bị hư hỏng hoặc bị sâu.

Dùng mũi khoan để loại bỏ phần răng không còn chức năng
Bước 4
Một loại gel sẽ được sử dụng để làm sạch khu vực xung quanh để tránh vùng răng sắp trám bị nhiễm khuẩn.
Bước 5
Vật liệu trám sẽ được đưa vào để lấp đầy khoảng trống bị hư hỏng trên răng.
Bước 6
Chất kết dính sẽ được đặt lên trên răng để bảo vệ và làm kín khu vực trám.

Dùng chất kết dính để đảm bảo miếng trám gắn chắc vào răng
Bước 7
Nha sĩ có thể sử dụng một loại đèn đặc biệt chiếu vào khu vực vừa trám trong vài giây để làm cứng vật liệu trám.
Bước 8
Nha sĩ sẽ mài nhẵn các cạnh thô và đánh bóng răng được trám để răng trông tự nhiên nhất.

Đánh bóng răng để tạo nên màu tự nhiên nhất cho miếng trám
4 Trám răng có đau không?
Nhiều người cảm thấy sợ hãi về các thủ thuật nha khoa, đặc biệt là vì họ nghĩ rằng chúng sẽ gây cảm giác đau đớn. Tuy nhiên, trám răng thường không gây cảm giác đau quá mức cho người bệnh.
Trong quá trình trám răng, tuỳ mức độ tổn thương bạn khó có thể cảm thấy ê buốt nhiều hoặc ít, tuy nhiên đa phần là ít cảm thấy khó chịu.
Tất nhiên, một số người sẽ có răng nhạy cảm hơn hoặc được yêu cầu trám răng sâu hơn, gần dây thần kinh hơn vẫn có thể cảm nhận được cơn đau nhẹ nhưng không quá dữ dội.
Đó là lý do tại sao thuốc gây tê được sử dụng để làm tê vùng miệng của bạn trong suốt quá trình trám răng. Đây là một biện pháp phòng ngừa bổ sung để đảm bảo rằng bạn sẽ không cảm thấy đau khi trám răng.
Tuy nhiên, đôi khi mọi người cảm thấy đau sau khi thuốc tê hết tác dụng. Cảm giác này hiếm khi kéo dài và đến ngày hôm sau và bạn sẽ cảm thấy dễ chịu hơn nhanh chóng sau đó.

Đa phần mọi người sẽ không thấy đau trong khi trám răng
5 Khi nào cần trám răng?
Trường hợp nào cần trám răng
Một số vấn đề có thể dẫn đến nhu cầu trám răng, bao gồm sâu răng, vỡ hoặc sứt mẻ hoặc nhu cầu thay thế miếng trám cũ hơn.
Một số dấu hiệu cho thấy bạn có thể cần thực hiện biện pháp trám răng bao gồm:
- Răng nhạy cảm khi ăn thức ăn hoặc đồ uống nóng hoặc lạnh.
- Xuất hiện một lỗ đen có thể nhìn thấy trong răng của bạn.
- Tình trạng đau răng nói chung.[4]

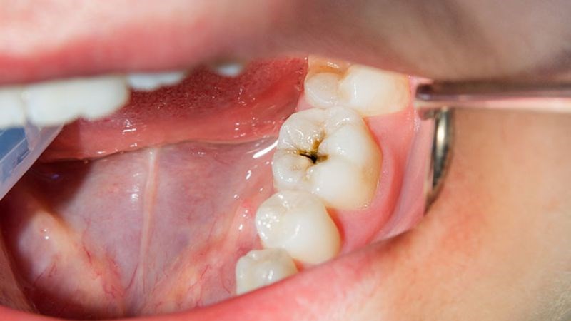
Sâu răng là một trong những tình trạng cần phải trám răng
6 Cách chăm sóc răng miệng sau khi trám răng
Sau khi trám răng, điều quan trọng là phải thực hiện một số bước chăm sóc nhất định để ngăn ngừa sâu răng hình thành bên dưới, xung quanh miếng trám hoặc ở các răng khác.
Về cơ bản, bạn nên chăm sóc các vết trám răng như đối với răng tự nhiên của mình:
- Đánh răng hai lần một ngày bằng kem đánh răng có florua
- Dùng chỉ nha khoa ít nhất một lần một ngày để giúp răng chắc khỏe.
- Ăn một chế độ ăn uống cân bằng, hạn chế ăn thức ăn và đồ uống có đường cũng có thể ngăn ngừa tổn thương răng miệng và hạn chế sâu răng thêm.
- Tránh cắn vào các vật cứng như móng tay, nắp chai và bút.
- Tránh sử dụng các thức uống như cà phê, trà và rượu vang đỏ vì chúng có thể làm ố cả răng tự nhiên và chất trám của bạn.[5]

Chăm sóc răng miệng sau trám giống như chăm sóc răng bình thường
7 Lưu ý khi trám răng
Bạn nên tìm hiểu thật kỹ các cơ sở nha khoa uy tín trước khi quyết định đi khám răng và thực hiện trám răng ở đó.
Các cơ sở trám răng uy tín
Khi có nhu cầu trám răng, bạn nên đến các trung tâm chuyên về Răng hàm mặt để được tư vấn và lựa chọn các phương pháp thích hợp. Bạn có thể tham khảo một số bệnh viện uy tín sau:
- TP. HCM: Bệnh viện Răng Hàm Mặt Trung Ương TP. HCM, Bệnh viện Đại học Y Dược TP. HCM,...
- Hà Nội: Bệnh viện Răng Hàm Mặt Trung Ương Hà Nội, Bệnh viện Đại học Y Hà Nội,...

Hãy đến các cơ sở nha khoa uy tín để trám răng
Trám răng là một trong những phương pháp hiệu quả và thường xuyên được sử dụng để điều trị tình trạng răng sâu. Hy vọng sau khi đọc bài viết này, bạn đã trang bị cho mình kiến thức cơ bản về phương pháp nha khoa này. Nếu thấy bài viết hữu ích, hãy chia sẻ cho người thân và bạn bè nhé!
Nguồn tham khảo
Dental Fillings
https://www.nidcr.nih.gov/health-info/dental-fillingsNgày tham khảo:
21/11/2023
Dental Health and Tooth Fillings
https://www.webmd.com/oral-health/dental-health-fillingsNgày tham khảo:
31/10/2021
Xem thêm 
Xem nguồn
Link bài gốc
Lấy link!https://giadinhmoi.vn/tram-rang-la-gi-quy-trinh-tram-rang-gom-cac-buoc-nao-d92940.html