Cao răng là nguyên nhân khiến răng bị xỉn màu, gây ra tình trạng hôi miệng, sâu răng và các bệnh ở nướu. Do đó việc lấy cao răng là điều cần thiết. Cùng tìm hiểu các bước cần thực hiện trước khi lấy cao răng qua bài viết dưới đây nhé!
1Cao răng (vôi răng) là gì?
Cao răng là mảng bám cứng nằm tại phần chân răng, ngay sát phần nướu. Cao răng thường có màu ngà vàng hoặc nâu, bám chặt vào bề mặt răng nên không thể lấy được bằng việc đánh răng thông thường.[1]

Cao răng là các mảng bám trên bề mặt răng do sự tích tụ của thức ăn
2Có nên lấy cao răng không?
Việc lấy cao răng là điều hoàn toàn cần thiết trong các bước chăm sóc sức khỏe răng miệng. Vì khi cao răng bám chặt trên răng sẽ ảnh hưởng đến thẩm mỹ.
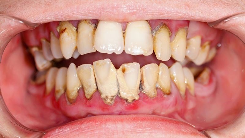
Đặc biệt, cao răng tạo điều kiện cho vi khuẩn phát triển. Từ đó dẫn đến các bệnh lý răng miệng nếu để lâu như:

Cao răng kéo dài không được lấy ra có thể gây sâu răng
Lợi ích của việc cạo vôi răng
Lấy cao răng định kỳ đem lại rất nhiều lợi ích cho sức khỏe bao gồm:
- Hạn chế sự phát triển của vi khuẩn, là nguyên nhân chính gây ra hôi miệng.
- Ngăn ngừa bệnh viêm nha chu gây đau lợi, chảy máu chân răng hoặc thậm chí mất răng.
- Hạn chế sâu răng do vi khuẩn tạo ra.
- Giúp giảm chi phí điều trị nha khoa.
- Phòng ngừa một số bệnh nhiễm trùng khác có nguồn gốc từ răng miệng như viêm amidan, viêm họng, viêm nội tâm mạc nhiễm khuẩn.

Lấy cao răng có thể hạn chế bệnh viêm nha chu
Tác hại khi lấy cao răng sai sách
Hiện nay, đa phần việc lấy cao răng được thực hiện bằng đầu siêu âm nên không làm mòn men răng, trừ các trường hợp răng sâu sẵn. Tuy nhiên, nếu lấy cao răng sai cách lại có thể gây ra một số hậu quả như:
- Nhiễm trùng nướu: xảy ra khi dụng cụ lấy cao răng không được khử khuẩn đúng quy trình trước khi sử dụng cho bệnh nhân.
- Chảy máu chân răng: thường do thực hiện thủ thuật quá mạnh hoặc thao tác không cẩn thận.
- Ê buốt răng: do răng bị kích thích nhiều trong quá trình lấy.

Lấy cao răng không cẩn thận có thể dẫn đến chảy máu chân răng
3Khi nào nên đi lấy cao răng?
Tùy theo tình trạng răng miệng và các yếu tố nguy cơ gây ra cao răng mà bác sĩ có thể đưa ra lịch hẹn lấy cao răng định kỳ:
- Thông thường với người khỏe mạnh nên lấy cao răng 6 tháng/lần.
- Người thường xuyên hút thuốc lá, mắc bệnh tiểu đường hoặc không vệ sinh răng miệng đúng cách cần lấy cao răng 3 tháng/lần.

Bạn nên lấy cao răng định kỳ để tránh bệnh lý răng miệng
4Lấy cao răng có đau không?
Cao răng có thể được lấy ra hoàn toàn và nhanh chóng bằng sóng siêu âm nên thường không gây đau đớn cho bệnh nhân. Tuy nhiên, với những người lần đầu lấy cao răng có thể xuất hiện triệu chứng ê buốt chân răng và sẽ biến mất hoàn toàn sau vài ngày.

Sau lấy cao răng bạn có thể thấy ê buốt trong một vài ngày đầu
5Lấy cao răng bao nhiêu tiền?
Lấy cao răng là biện pháp chăm sóc răng miệng phổ biến nên chi phí một lần lấy cao răng thường không quá đắt. Tùy vào mức độ của mảng bám mà 1 lần lấy cao răng có chi phí dao động từ 200 - 400 nghìn VNĐ.
6Cạo vôi răng có làm trắng răng không?
Cao răng thường có màu sẫm hơn so với men răng thực tế và gây ra mất thẩm mỹ cho người bệnh. Vì thế, việc lấy cao răng định kỳ sẽ giúp răng trở lại màu sắc ban đầu, trắng sáng hơn trước khi thực hiện mà không làm ảnh hưởng đến men răng.
7Những lưu ý sau khi lấy cao răng
Để tránh tình trạng viêm nhiễm hoặc e buốt sau khi lấy cao răng, bạn nên lưu ý một số điểm sau:
- Không ăn các thực phẩm chứa nhiều đường như bánh kẹo, nước ngọt.
- Kiêng hút thuốc lá, uống rượu bia sau khi lấy cao răng để bảo vệ nướu.
- Không sử dụng các sản phẩm tẩy răng có hại cho men răng.
- Hạn chế ăn đồ quá nóng, lạnh hoặc chua cay để giảm triệu chứng ê buốt.[2]

Bạn nên hạn chế uống rượu bia sau khi lấy cao răng
8Biện pháp hạn chế hình thành cao răng
Cao răng có nguồn gốc từ sự tích tụ của các mảng thức ăn lâu ngày mà không được vệ sinh đúng cách. Vì thế, bạn có thể thực hiện một số biện pháp sau để hạn chế và làm chậm quá trình hình thành của cao răng như:
- Sử dụng tăm nước hoặc chỉ nha khoa để loại bỏ thức ăn dư thừa ngay sau khi ăn.
- Đánh răng tối thiểu 2 lần/ngày vào sáng sớm và buổi tối.
- Xây dựng thói quen súc miệng bằng nước muối sinh lý hoặc nước súc miệng hàng ngày.
- Hạn chế ăn đồ ngọt, bánh kẹo để tránh các bệnh lý răng miệng.
- Thăm khám nha khoa mỗi 6 tháng/lần để lấy cao răng sớm.[1][2]

Dùng nước súc miệng hàng ngày có thể giúp ngăn ngừa hình thành cao răng
Hy vọng bài viết trên đã giúp bạn hiểu được những lợi ích của việc lấy cao răng và các hạn chế cao răng xuất hiện. Bạn nên thực hiện lấy cao răng định kỳ theo chỉ dẫn của bác sĩ để bảo vệ sức khỏe răng miệng nhé!
Nguồn tham khảo
Tartar
https://my.clevelandclinic.org/health/diseases/25102-tartarNgày tham khảo:
03/04/2024
SAU KHI LẤY VÔI RĂNG THÌ KIÊNG GÌ? NÊN CHĂM SÓC RA SAO?
https://bvdkgiadinh.com/sau-khi-lay-voi-rang-thi-kieng-gi-nen-cham-soc-ra-sao/Ngày tham khảo:
03/04/2024
Xem thêm 
Xem nguồn
Link bài gốc
Lấy link!https://giadinhmoi.vn/co-nen-lay-cao-rang-khong-nhung-dieu-can-biet-truoc-khi-thuc-hien-d92096.html