Hội chứng chóp xoay vai là một trong những hội chứng ảnh hưởng nhiều đến chất lượng cuộc sống của người bệnh. Bệnh có nhiều phương pháp điều trị khác nhau tùy vào từng mức độ. Tìm hiểu nguyên nhân, dấu hiệu nhận biết và điều trị qua bài viết dưới đây nhé!
1Hội chứng chóp xoay vai là gì?
Để xoay được vai, cơ thể có một nhóm cơ và gân bao quanh khớp vai, giữ cho đầu xương cánh tay trên nằm chắc chắn trong ổ chảo của vai. Khi các khớp xương và cơ cử động sẽ giúp cho vai xoay. Khi xuất hiện bất thường ở cơ, gân hay xương ở nhóm này cũng có thể dẫn tới hội chứng chóp xoay vai.
Chấn thương có thể gây ra cơn đau âm ỉ ở vai và có xu hướng xảy ra vào ban đêm. Bệnh thường gặp ở người lớn tuổi hoặc có thể gặp sớm hơn ở những người thường xuyên sử dụng khớp vai như thợ sơn, thợ mộc.[1]

Hội chứng chóp xoay vai thường gặp do tổn thương gân và các cấu trúc vai
2Nguyên nhân và yếu tố nguy cơ gây hội chứng chóp xoay vai
Nguyên nhân bên ngoài
Nguyên nhân bên ngoài thường do những sự chèn ép mỏm dưới vai từ bên ngoài. Một số yếu tố dẫn tới tình trạng này là:
Nguyên nhân bên trong
Tình trạng này thường gặp ở cầu thủ ném bóng chày và người ném lao do chèn ép thường xảy ra ở phía sau ổ chảo. Điều này dẫn đến sự thiếu hụt trong khớp xoay vai dẫn tới độ nghiêng của hệ thống xương cánh tay thường hướng về sau. Điều này khiến cho vai của người ném dễ va chạm vào bên trong.
Ngoài ra, việc xuất hiện các gai xương gây cọ sát vào gân hay lưu lượng máu đến vai giảm cũng có thể dẫn tới hội chứng xoay vai.
Yếu tố môi trường
Một số yếu tố môi trường tạo điều kiện dẫn tới hội chứng xoay vai như:
- Tuổi cao: Những người tuổi cao từ 40 tuổi trở lên.
- Tiền sử gia đình: Có người có vấn đè về vai hoặc thường xuyên chấn thương xương khớp.
- Hút thuốc lá.
- Nghề nghiệp: thợ mộc, thợ xây, hoạ sĩ, vận động viên bóng ném,...

Thợ mộc thường có nguy cơ mắc hội chứng chóp xoay vai cao
3Triệu chứng hội chứng chóp xoay vai
Tùy thuộc vào từng người sẽ có cảm giác đau khác nhau. Nhiều người có thể cảm thấy đau âm ỉ nhưng những người khác có thể cảm thấy đau dữ dội như dao đâm.
Ngoài triệu chứng đau, người bệnh cũng xuất hiện một số dấu hiệu như:
- Hạn chế vận động khi nâng, hạ hoặc xoay cánh tay.
- Xuất hiện tiếng lạo xạo khi cử động cánh tay.
- Tình trạng đau vai tăng vào ban đêm hoặc khi nghỉ ngơi cánh tay.
- Khó khăn trong việc nâng đồ.[1]

Đau vai là triệu chứng thường gặp của hội chứng chóp xoay vai
4Biến chứng của hội chứng chóp xoay vai
Biến chứng thường gặp nhất là tình trạng rách các cấu trúc tại vai sau quá trình điều trị. Nếu vết rách ban đầu càng lớn thì càng có nguy cơ tái phát. Ngoài ra, nếu hội chứng xoay vai không được điều trị kịp thời có thể dẫn tới yếu cũng như mất khả năng vận động khớp vai.[3]
5Chẩn đoán hội chứng chóp xoay vai
Lâm sàng
Bác sĩ sẽ tiến hành khai thác lâm sàng các đặc điểm liên quan đến hội chứng chóp xoay vai như:
- Cơn đau khởi phát trong trường hợp nào, có liên quan đến chấn thương không?
- Các triệu chứng nặng hơn khi nào?
- Có đau vào ban đêm không?
- Nghề nghiệp đang làm.
Bác sĩ tiến hành thăm khám các vấn đề về cột sống và khớp vai như:
- Đánh giá các vấn đề liên quan đến cột sống.
- Tổn thương khớp vai.
- Đánh giá sức mạnh của khớp vai.[2]
X - quang
X-quang là phương pháp được thực hiện để đánh giá bất thường các cấu trúc xung quanh khớp vai. Người bệnh sẽ được chụp tư thế xoay vai khoảng 30-45 độ để đánh giá chính xác. Mặc dù, không phát hiện được những dấu hiệu liên quan đến phần mềm nhưng X-quang sẽ cho cái nhìn tổn quan về khớp vai cũng như giúp phát hiện gai xương.

X-quang giúp đánh giá sơ bộ khớp vai
Siêu âm
Siêu âm là phương pháp thu được hình ảnh nhờ vào việc sử dụng sóng âm. Phương pháp này ít được sử dụng do hiệu quả chẩn đoán ở vị trí khớp vai vẫn còn đang phải nghiên cứu. Việc chẩn đoán và phân loại các bệnh lý gây nên hội chứng chóp xoay vai vẫn là vấn đề gây tranh cãi.
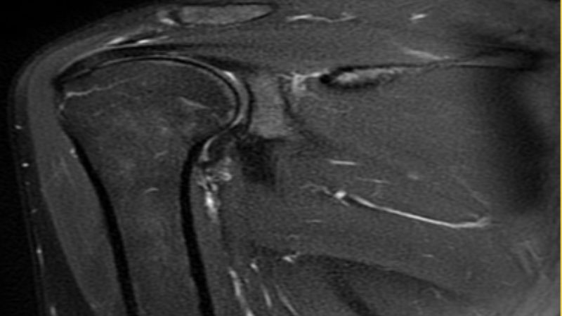
Chụp cộng hưởng từ (MRI)
Chụp cộng hưởng từ giúp đánh giá mức độ nặng cũng như nguyên nhân dẫn tới hội chứng chóp xoay vai. Phương pháp này cung cấp thông tin về các vấn đề như:
- Có rách vòng xoay vai không?
- Kích thước và vị trí vết rách.
- Thoái hóa khớp.
- Viêm bao hoạt dịch.
- Đánh giá tính toàn vẹn của khớp.

Cộng hưởng từ giúp đánh giá phần mềm tại khớp vai hiệu quả
6Khi nào cần gặp bác sĩ
Các dấu hiệu cần gặp bác sĩ
Hội chứng chóp xoay vai không phải là hội chứng dễ dàng nhận biết. Vì vậy, nếu xuất hiện những dấu hiệu dưới đây, người bệnh nên đến các cơ sở y tế để được chăm sóc và điều trị:
- Đau vùng vai dữ dội.
- Cơn đau ảnh hưởng đến chất lượng cuộc sống.
- Hoạt động của khớp vai không như bình thường.
- Bị thương ở vai hoặc rách ở vai.[4]

Bạn nên đến gặp bác sĩ khi vai đau kéo dài
Địa chỉ khám chữa bệnh uy tín
Nếu gặp các dấu hiệu như trên, bạn có thể đến ngay các cơ sở y tế gần nhất, các bệnh viện chuyên khoa Cơ xương khớp, Chấn thương chỉnh hình. Hoặc bất kỳ bệnh viện đa khoa nào tại địa phương để được thăm khám kịp thời.
Ngoài ra, có thể tham khảo một số bệnh viện lớn, uy tín dưới đây để được chẩn đoán và tư vấn điều trị phù hợp, tránh các biến chứng đáng tiếc xảy ra:
- Tại TP. Hồ Chí Minh: Bệnh viện Chấn thương chỉnh hình TPHCM, bệnh viện Chợ Rẫy, bệnh viện Đại học Y Dược TPHCM.
- Tại Hà Nội: Bệnh viện Bạch Mai, bệnh viện Trung ương Quân đội 108, bệnh viện Đại học Y Hà Nội.
7Điều trị hội chứng chóp xoay vai
Phân nhóm điều trị
Hội chứng chóp xoay vai cần được phân loại để có chiến lược điều trị với từng trường hợp. Có 3 nhóm hội chứng chóp xoay vai được phân loại dưới đây:
- Rách toàn bộ hoặc một phần gân cơ chóp xoay, bệnh nhân không có triệu chứng: Tiến hành điều trị nội để kiểm soát triệu chứng.
- Rách một phần gân cơ chóp xoay, bệnh nhân có triệu chứng: Tiến hành can thiệp phẫu thuật. Thời gian phụ thuộc vào tình trạng người bệnh, tối ưu nhất là từ 3-18 tháng.
- Rách chóp xoay mạn tính, có triệu chứng: Tiến hành điều trị nội khoa.[2]
Vật lý trị liệu
Vật lý trị liệu thường là một trong những phương pháp điều trị đầu tiên được chỉ định. Các kỹ thuật viên sẽ đánh giá mức độ tổn thương để đưa ra những bài tập phù hợp để phục hồi tính linh hoạt cũng như sức mạnh vùng vai. Đây cũng được đánh giá là một trong những bài tập phù hợp để phục hồi sau khi phẫu thuật.

Vật lý trị liệu giúp khớp vai hoạt động tốt hơn
Tiêm
Corticoid là một trong những chất giảm đau, kháng viêm hiệu quả. Việc tiến hành tiêm corticoid vào khớp vai sẽ giúp giảm đau, cải thiện chất lượng cuộc sống. Tuy nhiên, nếu lạm dụng, người bệnh có thể bị yếu gân và giảm khả năng phẫu thuật thành công trong tương lai.

Tiêm corticoid giúp giảm đau hiệu quả
Điều trị bằng thuốc
Với những người có mức độ đau vừa phải, thuốc giảm đau NSAIDs sẽ được sử dụng để giảm đau, hạn chế tác dụng phụ làm yếu gân của corticoid. Tuy nhiên, việc sử dụng thuốc giảm đau này vẫn còn gây tranh cãi. Điều trị bằng thuốc thường kết hợp với vật lý trị liệu để mang lại hiệu quả điều trị tốt nhất.
Phẫu thuật
Có nhiều loại phẫu thuật khác nhau để điều trị chấn thương gân cơ chóp xoay, bao gồm:
- Nội soi sửa gân: Mổ nội soi để tiến hành nối gân bị rách. Phương pháp này thường có thời gian lành nhanh hơn.
- Mổ mở sửa gân: Tương tự như mổ nội soi sửa gân nhưng được thực hiện trong trường hợp phẫu thuật nội soi khó khăn trong việc tiếp cận hoặc cần phải mổ mở để quan sát toàn diện vùng gân.
- Thay thế gân: Nếu gân bị rách quá nặng không thể gắn lại vào xương cánh tay, bác sĩ có thể thay thế gân vùng vai bằng gân của một vị trí khác.
- Thay khớp vai: Thường được thực hiện nếu chấn thương quá phức tạp và không thể sửa chữa bằng việc thay gân.[5]
8Phòng ngừa hội chứng chóp xoay vai
Để giảm nguy cơ xuất hiện hội chứng chóp xoay vai, bạn có thể thực hiện những khuyến cáo sau:
- Khởi động thật kỹ trước khi luyện tập thể thao.
- Chú ý đến biên độ hoạt động của khớp vai, không nên hoạt động quá sức.
- Thực hiện các bài tập phù hợp nhằm nâng cao sức mạnh khớp vai.
- Chườm đá vùng vai mỗi khi đau không quá 10 phút mỗi lần.[1]
Hy vọng bài viết đã cung cấp cho bạn những thông tin liên quan đến hội chứng chóp xoay vai. Nếu thấy bài viết hữu ích, hãy chia sẻ cho người thân và bạn bè nhé!
Nguồn tham khảo
Xem thêm 