Tụ máu dưới màng cứng là tình trạng bệnh lý thần kinh đáng ngại, thường xuất hiện khi vùng đầu bị chấn thương, va đập gây ra khối máu tụ. Hãy cùng tìm hiểu nguyên nhân, dấu hiệu, biến chứng, cách chẩn đoán tụ máu dưới màng cứng trong bài viết dưới đây nhé!
1Tụ máu dưới màng cứng là gì?
Tụ máu dưới màng cứng hay còn gọi là xuất huyết dưới màng cứng, là tình trạng máu tích tụ bên trong hộp sọ và bên ngoài mô não. Thực tế đây được coi là một loại chấn thương sọ não.
Sự tụ máu dưới màng cứng có thể là một tình trạng nguy hiểm. Đôi khi, máu có thể chảy ra chậm và khiến cơ thể hấp thụ lượng máu này. Tụ máu trong một khoảng thời gian dài sẽ tạo áp lực lên não, dẫn đến các vấn đề về hô hấp, thần kinh và có thể gây tử vong nếu không được điều trị kịp thời.[1]
-800x450.jpg)
Tụ máu dưới màng cứng là một loại chấn thương sọ não
2Các giai đoạn của tụ máu dưới màng cứng
Tụ máu dưới màng cứng được phân loại dựa trên tốc độ phát triển, mức độ chảy máu và mức độ tổn thương chúng gây ra. Các giai đoạn tụ máu dưới màng cứng bao gồm:
- Cấp tính: Khi máu tụ hình thành sau khi đầu bị chấn thương, các triệu chứng có thể hiện ra ngay tức thì hoặc sau vài giờ. Nếu không được chẩn đoán và điều trị kịp thời, người bệnh có thể tử vong.
- Bán cấp: Các triệu chứng cần khoảng vài ngày đến vài tuần sau chấn thương mới xuất hiện. Tụ máu dưới màng cứng bán cấp có thể kèm theo những chấn động như đau đầu, chóng mặt.
- Mãn tính: Khối tụ máu mãn tính thường gặp ở người cao tuổi, diễn ra từ từ sau chấn thương khoảng 2 - 3 tuần. Các triệu chứng của tụ máu mãn tính thường khó nhận biết.[1]
-800x450.jpg)
Tụ máu dưới màng cứng cấp tính hình thành sau chấn thương vài giờ
3Nguyên nhân gây tụ máu dưới màng cứng
Tụ máu dưới màng cứng thường do chấn thương đầu, thậm chí cả những va chạm nhỏ cũng có thể gây ra tình trạng này. Khi máu chảy vào khoảng trống giữa hộp sọ và não, nó có thể gây áp lực lên não và dẫn đến tổn thương não.[2]
4Dấu hiệu của tụ máu dưới màng cứng
Các dấu hiệu của tụ máu dưới màng cứng có thể xuất hiện ngay sau chấn thương hoặc vài tuần sau đó. Một số dấu hiệu thường gặp như:
- Đau đầu kéo dài.
- Lú lẫn, rối loạn tri giác.
- Buồn nôn hoặc nôn.
- Nói ngọng, nói lắp.
- Thị lực suy giảm.
- Mất thăng bằng khi đứng lên, di chuyển.
- To đầu, hộp sọ mềm ở trẻ sơ sinh.[1]
5Biến chứng của tụ máu dưới màng cứng
Các biến chứng như nhiễm trùng hoặc viêm màng não có thể phát sinh ngay sau chấn thương. Tụ máu dưới màng cứng cũng có thể gây ra những tổn thương dẫn đến các biến chứng vĩnh viễn như mất khả năng đi lại, khó nói, lú lẫn, mất trí nhớ, thoát vị não gây hôn mê và tử vong.[3]
-800x450.jpg)
Tụ máu dưới màng cứng có thể gây biến chứng viêm màng não
6Cách chẩn đoán tụ máu dưới màng cứng
Thăm khám lâm sàng
Bác sĩ sẽ tiến hành hỏi về các chấn thương người bệnh gặp phải trong thời gian gần đây, các triệu chứng, các loại thuốc họ đang sử dụng cũng như thói quen sinh hoạt. Bác sĩ có thể làm một số kiểm tra cơ bản như huyết áp, thị lực, phản xạ và sự thăng bằng của người bệnh.
Xét nghiệm
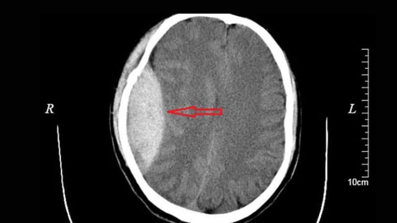
Bác sĩ có thể yêu cầu người bệnh chụp cắt lớp vi tính (CT scan) hoặc chụp cộng hưởng từ (MRI). Các xét nghiệm hình ảnh này giúp bác sĩ quan sát được hình ảnh não người bệnh, thấy được vị trí cũng như lượng máu đang chảy.[1]
-800x450.jpg)
Chụp cắt lớp vi tính giúp bác sĩ quan sát vị trí máu chảy trong não
8Khi nào cần gặp bác sĩ
Các dấu hiệu cần gặp bác sĩ
Nếu có các dấu hiệu sau thì bạn nên đến gặp bác sĩ để được thăm khám và điều trị:
- Đau đầu từ nhẹ tới nặng.
- Nói ngọng, nói lắp.
- Mất thăng bằng khi di chuyển.
- Suy giảm trí nhớ, lú lẫn.
- Mắt kém, nhìn mờ.
-800x450.jpg)
Bạn cần đi khám nếu gặp tình trạng đau đầu kéo dài, mắt kém
Nơi khám chữa tụ máu dưới màng cứng
Nếu thấy các dấu hiệu bất thường, bạn nên đến các cơ sở y tế gần nhất, các phòng khám hay bệnh viện chuyên khoa Nội, Thần kinh hoặc bất kỳ bệnh viện đa khoa tại địa phương để được thăm khám kịp thời.
Ngoài ra, có thể tham khảo một số bệnh viện lớn, uy tín dưới đây để được chẩn đoán và tư vấn điều trị phù hợp, tránh các biến chứng đáng tiếc xảy ra:
- Tp. Hồ Chí Minh: Bệnh viện Nguyễn Tri Phương, Bệnh viện Nhân dân 115, Bệnh viện Đại học Y Dược.
- Hà Nội: Bệnh viện Bạch Mai, Bệnh viện Việt Đức, Bệnh viện Đại học Y Hà Nội.
9Phương pháp điều trị tụ máu dưới màng cứng
Dựa vào tình hình của bệnh nhân, bác sĩ sẽ đưa ra phương pháp điều trị thích hợp. Trong trường hợp khối máu còn nhỏ và không gây ra các triệu chứng nghiêm trọng, bệnh nhân không cần phẫu thuật mà chỉ cần thường xuyên chụp cắt lớp não để đảm bảo rằng khối máu không phát triển.
Trong trường hợp khối tụ máu lớn, bác sĩ sẽ phẫu thuật giải nén. Trong quá trình này, bác sĩ phẫu thuật sẽ khoan lỗ hoặc lỗ trên hộp sọ để thoát máu và giảm áp lực lên não do máu tích tụ.[1]
-800x450.jpg)
Phẫu thuật giải nén là phương pháp điều trị tụ máu dưới màng cứng
10Biện pháp phòng ngừa tụ máu dưới màng cứng
Các biện pháp phòng ngừa tụ máu dưới màng cứng bao gồm:
- An toàn khi tham gia các hoạt động vận động và thể thao: Để tránh chấn thương đầu, đặc biệt là trong các hoạt động mạo hiểm, hãy đảm bảo đội mũ bảo hiểm.
- Quan tâm đến các bệnh lý sẵn có: Nếu bạn gặp các vấn đề như tăng áp lực nội sọ hoặc về máu, hãy tuân thủ theo hướng dẫn của bác sĩ để kiểm soát bệnh lý.
- Tránh lạm dụng cồn: Lạm dụng cồn có thể làm suy yếu mạch máu và gây ra tụ máu dưới màng cứng. Hãy sử dụng đồ uống có cồn một cách có trách nhiệm hoặc tốt nhất là không sử dụng.
- Duy trì một lối sống lành mạnh, bao gồm ăn uống cân đối, tập thể dục đều đặn, giảm căng thẳng, và đảm bảo đủ giấc ngủ.
- Loại bỏ các nguy cơ té ngã - đặc biệt đối với người cao tuổi: Lắp đèn ở cầu thang, hành lang và những khu vực tối, sắp xếp đồ đạc gọn gàng, kiểm tra thị lực thường xuyên.[1]
-800x450.jpg)
Đội mũ bảo hiểm khi tham gia giao thông giúp hạn chế chấn thương đầu
Tụ máu dưới màng cứng có thể gây nhiều biến chứng nguy hiểm nếu không được chẩn đoán và điều trị kịp thời. Nếu nhận thấy cơ thể có dấu hiệu bất thường, hãy đến ngay các cơ sở y tế gần nhất để được thăm khám và chữa trị nhé!
Nguồn tham khảo
Xem thêm 