U ống tuyến mồ hôi là tình trạng xuất hiện một vết sưng nhỏ trên da. Những vết sưng này không gây ảnh hưởng nhiều đến sức khỏe nhưng sinh ra tâm lý tự ti cho người bệnh. Cùng tìm hiểu nguyên nhân, dấu hiệu, chẩn đoán và điều trị u ống tuyến mồ hôi qua bài viết dưới đây nhé!
1U ống tuyến mồ hôi là gì?
U ống tuyến mồ hôi có hình dạng tương tự như mụn nhọt, thường phát triển thành từng cụm trên da. Đây là kết quả của sự phát triển quá mức của tuyến mồ hôi.
Mặc dù khối u này và mụn thịt có các triệu chứng tương tự nhau. Nhưng người bệnh hoàn toàn có thể phân biệt được u tuyến mồ hôi do màu của những mụn này thường có màu vàng hoặc màu sắc tương tự da tự nhiên.[1]

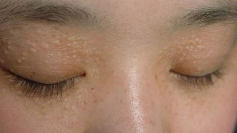
U ống tuyến mồ hôi thường xuất hiện ở mắt
2Nguyên nhân gây u ống tuyến mồ hôi
Sự phát triển quá mức của tuyến mồ hôi có thể dẫn tới hình thành u tuyến mồ hôi. Một số yếu tố nguy cơ có thể dẫn tới tình trạng này là:
- Tuyến mồ hôi phát triển mạnh.
- Thường xuyên hoạt động thể thao.
- Thân nhiệt cao.
- Có tính chất di truyền.
3Ai có nguy cơ mắc bệnh
Những người trong độ tuổi từ 25-40, đặc biệt là phụ nữ da trắng thường có nguy cơ mắc bệnh này cao nhất. Ngoài ra, bệnh còn liên quan đến một số vấn đề như:

U tuyến thường liên quan đến bệnh tiểu đường
4Dấu hiệu của bệnh u ống tuyến mồ hôi
Một số dấu hiệu của u tuyến mồ hôi có thể kể đến như:
- Sẩn có đường kính 1-3mm.
- Sẩn có màu vàng, mờ có màu sắc tương tự màu da tự nhiên.
- Sẩn mọc thành cụm hoặc có màu sắc tương tự nhau.
Một số vị trí phổ biến như:
- Quanh mí mắt.
- Trên khuôn mặt.
- Ngực.
- Nách.
- Bẹn.
5Chẩn đoán u ống tuyến mồ hôi
Khám lâm sàng
Bác sĩ sẽ tiến hành thăm khám những đặc điểm xung quanh cơ thể kèm theo khai thác tiền sử bệnh để định hướng nguyên nhân cũng như phân tích những yếu tố liên quan.
Các xét nghiệm cận lâm sàng
Để chẩn đoán chính xác tình trạng bệnh cũng như loại trừ các bệnh có triệu chứng tương tự, bác sĩ sẽ chỉ định sinh thiết da. Đây là xét nghiệm lấy một mẩu mô trên da rồi gửi đến phòng thí nghiệm nhằm quan sát dưới kính hiển vi để đánh giá chính xác tính chất da.
6Khi nào cần gặp bác sĩ?
Dấu hiệu cần gặp bác sĩ
Mặc dù bệnh lý này không ảnh hưởng đến sức khỏe nhưng nếu xuất hiện những mụn nhỏ màu vàng trên mặt, mắt gây ảnh hưởng đến sự tự tin, người bệnh cũng nên đến các cơ sở y tế để được thăm khám và điều trị.
Nơi thăm khám bệnh và điều trị
Khi thấy xuất hiện các dấu hiệu trên, bạn cần đến cơ sở y tế gần nhất hoặc chuyên khoa nhãn khoa thuộc các bệnh viện uy tín để được thăm khám và điều trị kịp thời, bạn có thể tham khảo một số bệnh viện uy tín sau:
- Tại Thành phố Hồ Chí Minh: Bệnh viện Mắt TP.HCM, Bệnh viện Gia An 115, Bệnh viện Chợ Rẫy, Bệnh viện Đại học Y dược TP.HCM.
- Tại Hà Nội: Bệnh viện Mắt Trung Ương, Bệnh viện Mắt Hà Nội 2, Bệnh viện Bạch Mai, Bệnh viện Đại học Y Hà Nội.
7Điều trị u ống tuyến mồ hôi
Dựa vào triệu chứng cũng như các vấn đề liên quan, bác sĩ sẽ chỉ định các phương án điều trị phù hợp như:
Thuốc
Một số loại thuốc có thể bác sĩ cân nhắc sử dụng nếu tình trạng u ống tuyến khiến người bệnh không tự tin về vẻ ngoài:
- Axit trichloroacetic: giúp điều trị bằng cách lột da hóa chất để kích thích sự phát triển của tế bào da ở bên dưới.
- Isotretinoin: là phương pháp điều trị bằng đường uống phổ biến giúp giảm sự xuất hiện của mụn.
- Acitretin: là thuốc để điều trị tình trạng vảy nến có thể được sử dụng để điều trị mụn thịt.
Bên cạnh đó có thể sử dụng sữa rửa mặt và kem dưỡng chứa hoạt chất có nồng độ thấp giúp tẩy tế bào chết, loại bỏ các lớp sừng trên da làm giảm sự xuất hiện của các mụn thịt.
Các hoạt chất có trong các sản phẩm tẩy tế bào chết an toàn và hiệu quả như:
Phẫu thuật
Bác sĩ có thể cân nhắc loại bỏ mụn thịt bằng những phương pháp như:
- Laser: Sử dụng ánh sáng năng lượng cao tác dụng lên da để làm giảm sự xuất hiện của u tuyến mồ hôi.
- Đốt điện: sử dụng năng lượng cao của điện để tiêu diệt vùng mụn mủ.
- Khử điện: sử dụng electron có khả năng chống oxy hóa, tăng khả năng hoạt động của các tế bào miễn dịch.
- Áp lạnh: sử dụng nhiệt độ lạnh để tiêu diệt các tế bào u tuyến mồ hôi.
- Mài mòn da: loại bỏ những lớp da bên trên để lộ ra những lớp da mới khỏe mạnh.
- Cắt bỏ: sử dụng dao mổ để loại bỏ vùng khối u lồi lên trên da.
8Phòng ngừa
Mặc dù không thể ngăn ngừa hoàn toàn các yếu tố nguy cơ nhưng bạn có thể thực hiện những biện pháp sau để ggiảm nguy cơ mắc bệnh này:
- Tránh căng thẳng.
- Bôi kem chống nắng.
- Tẩy tế bào chết thường xuyên.
- Điều trị nếu tuyến mồ hôi tiết quá mức.
Hy vọng bài viết đã cung cấp cho bạn các kiến thức về u ống tuyến mồ hôi. Tuy đây không phải vấn đề nguy hiểm nhưng nếu bệnh ảnh hưởng đến thẩm mỹ bạn cũng nên tìm cho mình những phương pháp điều trị phù hợp nhé!
Nguồn tham khảo
Xem thêm 