Viêm màng ngoài tim là tình trạng viêm nhiễm lớp màng phủ bên ngoài tim. Viêm màng ngoài tim thường biểu hiện bằng triệu chứng đau ngực dữ dội. Hãy cùng tìm hiểu thêm về bệnh viêm màng ngoài tim ở dưới bài viết nhé!
1Viêm màng ngoài tim là gì?
Màng ngoài tim là lớp niêm mạc bao phủ bên ngoài tim gồm 2 lớp, giữa 2 lớp này là khoang màng ngoài tim. Bình thường, trong khoang màng ngoài tim sẽ chứa một lượng dịch nhỏ đủ để 2 lớp này trượt lên nhau.
Viêm màng ngoài tim chủ yếu liên quan đến sự thay đổi tính chất và lượng dịch của khoang màng ngoài tim. Điều này làm cho 2 lớp của khoang màng ngoài tim liên tục ma sát lên nhau khi tim co bóp, dẫn đến biểu hiện đau ngực dữ dội ở người bệnh.
Viêm màng ngoài tim được phân làm 4 loại gồm: viêm màng ngoài tim cấp, bán cấp, mạn tính và viêm màng ngoài tim tái phát.[1]

Viêm màng ngoài tim chủ yếu liên quan đến sự thay đổi khoang màng ngoài tim
2Nguyên nhân gây bệnh viêm màng ngoài tim
Nguyên nhân gây viêm màng ngoài tim ở người bệnh thường khó xác định. Có hơn 90% trường hợp người bệnh mắc viêm màng ngoài tim không tìm ra được nguyên nhân mắc, còn gọi là viêm màng ngoài tim vô căn. Nếu có, các nguyên nhân có thể là:
- Nguyên nhân do nhiễm trùng: virus, vi khuẩn, nấm, ký sinh trùng đều có khả năng gây viêm màng ngoài tim.
- Nguyên nhân không do nhiễm trùng: hội chứng sau nhồi máu cơ tim cấp (Dressler), chấn thương ở ngực, bệnh tự miễn (như lupus, viêm khớp dạng thấp), các bệnh mãn tính (như suy thận mạn, ung thư), một số loại thuốc ức chế miễn dịch (rất hiếm)...[2]

Nguyên nhân viêm màng ngoài tim có thể do vi khuẩn
3Triệu chứng bệnh viêm màng ngoài tim
Đau ngực với tính chất đau như dao đâm (điều này xảy ra khi tim người bệnh cọ xát vào màng ngoài tim) là triệu chứng hay gặp nhất của viêm màng ngoài tim. Người bệnh đau nhiều hơn khi ho, nuốt, hít sâu, khi nằm và đỡ đau hơn khi ngồi dậy cúi người ra trước, đau có thể lan ra cổ, nách, vai trái, sau lưng, cơn đau có thể kéo dài vài giờ đến vài ngày.
Các triệu chứng khác cũng có thể xuất hiện như:
- Khó thở khi nằm, ho khan.
- Hồi hộp, đánh trống ngực.
- Mệt mỏi, sốt.
- Sưng phù ở chân trong các trường hợp nặng đã xuất hiện biến chứng.[3]

Viêm màng ngoài tim có biểu hiện điển hình là đau ngực kiểu dao đâm
4Biến chứng của viêm màng ngoài tim
Hầu hết người bệnh đều hồi phục tốt nếu được điều trị, nghỉ ngơi và dùng thuốc kịp thời. Nếu diễn tiến của viêm màng ngoài tim không thuận lợi có thể để lại các biến chứng nặng nề là:
- Tràn dịch màng ngoài tim: Xảy ra khi tình trạng viêm màng tim làm lượng dịch trong khoang màng ngoài tim tăng lên một lượng đáng kể.
- Chèn ép tim: Nếu tình trạng viêm, tràn dịch màng ngoài tim trở nên nặng nề sẽ gây tăng áp lực và chèn ép tim. Điều này làm cản trở máu về tim khiến cho lượng máu mà tim tống đi khi co bóp giảm, huyết áp hạ và có thể dẫn đến tử vong. Đây là tình trạng đe dọa đến tính mạng, cần được điều trị khẩn cấp.
- Viêm màng ngoài tim co thắt: Ở những người bệnh mắc viêm màng ngoài tim kéo dài có thể gây tổn thương và xơ hóa màng ngoài tim. Những thay đổi này có thể dẫn tới suy tim sung huyết với biểu hiện sưng phù ở chân.[4]

Viêm màng ngoài tim có thể dẫn tới tràn dịch màng ngoài tim
5Chẩn đoán viêm màng ngoài tim
Lâm sàng
Để chẩn đoán viêm màng ngoài tim, các bác sĩ sẽ bắt đầu từ hỏi bệnh sử, tiền sử đến thăm khám lâm sàng:
- Bệnh sử: Triệu chứng đau ngực như dao đâm, đau tăng khi người bệnh ho, hít sâu và giảm khi người bệnh ngồi dậy cúi người về phía trước. Các triệu chứng đi kèm như sốt, khó thở... Trong một số trường hợp, bệnh nhân có thể đau ở thượng vị hay đau đè nặng lan lên cánh tay trái, cần phân biệt với các cơn đau khác ở vùng bụng, cơn đau thắt ngực…
- Tiền sử: Các đợt xuất hiện triệu chứng tương tự trước đây và các bệnh lý khác mà người bệnh mắc phải (tình trạng nhiễm trùng gần đây, lupus, viêm khớp dạng thấp, suy thận...)
- Thăm khám: Có thể nghe thấy tiếng cọ màng ngoài tim (tiếng cọ khi 2 lớp màng ngoài tim ma sát vào nhau), tiếng thổi ở tim...

Thăm khám người bệnh viêm màng ngoài tim nghe tiếng cọ màng tim
Cận lâm sàng
Trong viêm màng ngoài tim các phương pháp chủ yếu được dùng để chẩn đoán viêm màng ngoài tim là:
- Điện tâm đồ (ECG): Ghi lại hoạt đồng điện của tim, xét nghiệm này giúp gợi ý chẩn đoán viêm màng ngoài tim.
- Xét nghiệm máu: Công thức máu, tốc độ lắng máu VS, xét nghiệm định lượng protein phản ứng C (CRP), xét nghiệm men tim, các xét nghiệm kiểm tra các bệnh lý miễn dịch (Lupus, viêm khớp dạng thấp…). Các xét nghiệm này có thể giúp đánh giá được tình trạng bệnh cũng như sử dụng để chẩn đoán nguyên nhân gây bệnh.
- X - quang ngực: Cho thấy sự thay đổi về kích thước và hình dạng tim, phát hiện tim lớn có thể gợi ý chẩn đoán viêm màng ngoài tim.
- Siêu âm tim: Được sử dụng phổ biến trong chẩn đoán viêm màng ngoài tim nhằm phát hiện sự tích tự chất lỏng ở mô xung quanh tim và kiểm tra chức năng bơm máu của tim...
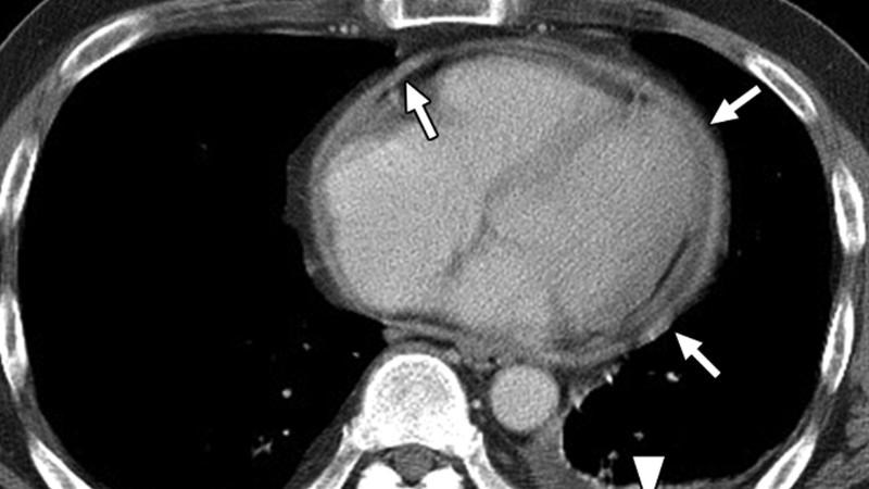
- Chụp cắt lớp vi tính (CT - scan) lồng ngực: Kết quả xét nghiệm này giúp bác sĩ nhìn thấy rõ nét hơn tình trạng của tim, hỗ trợ chẩn đoán phân biệt với các triệu chứng khác có thể gây đau ngực ở người bệnh.
- Chụp cộng hưởng từ tim (MRI): Các lát cắt hình ảnh về tim trong MRI có thể cho thấy tình trạng dày lên và viêm nhiễm hoặc những thay đổi khác ở màng ngoài tim, các mô xung quanh tim.[5]

CT-scan lồng ngực được dùng để chẩn đoán viêm màng ngoài tim
6Khi nào cần gặp bác sĩ?
Các dấu hiệu cần gặp bác sĩ
Phần lớn người bệnh mắc viêm màng tim có thể khỏi hoàn toàn nếu phát hiện sớm và điều trị kịp thời. Tuy nhiên, nếu chủ quan và diễn tiến của bệnh trở nên xấu đi có thể để lại nhiều biến chứng nguy hiểm.
Bên cạnh đó các triệu chứng của viêm màng ngoài tim có thể giống các bệnh về tim và phổi khác. Nên khi bạn có các triệu chứng đau ngực, đặc biệt là khi triệu chứng xuất hiện dai dẳng hoặc nặng nề bạn cần đến gặp bác sĩ để được khám và điều trị kịp thời.[6]
Địa chỉ khám chữa bệnh uy tín
Nếu bạn đang có các triệu chứng nghi ngờ mắc viêm màng ngoài tim bạn nên đến các cơ sở y tế gần nhất, các phòng khám hay bệnh viện Chuyên khoa Tim mạch hoặc các bệnh viện đa khoa tại địa phương để được thăm khám kịp thời.
Ngoài ra, có thể tham khảo một số bệnh viện dưới đây để được chẩn đoán và tư vấn điều trị phù hợp, tránh các biến chứng đáng tiếc xảy ra:
- Tp. Hồ Chí Minh: Viện Tim mạch Tp. Hồ Chí Minh, Bệnh viện Đại học Y dược Tp. Hồ Chí Minh, Bệnh viện Chợ Rẫy.
- Hà Nội: Bệnh viện Bạch Mai, Bệnh viện Tim Hà Nội, Bệnh viện Y dược Hà Nội.
7Điều trị bệnh viêm màng ngoài tim
Tùy vào nguyên nhân và tình trạng bệnh viêm màng ngoài tim mà bác sĩ sẽ đưa ra hướng điều trị phù hợp với từng người bệnh.
Điều trị nội khoa
Các thuốc thường được chỉ định để điều trị cho người bệnh mắc viêm màng ngoài tim bao gồm:
- Nhóm các thuốc chống viêm không steroid NSAIDs (như ibuprofen, aspirin).
- Colchicine (như colcrys, mitigare).
- Thuốc kháng viêm corticosteroid (như prednisone): Thuốc có thể tạo điều kiện thuận lợi cho virus phát triển, gây tái phát khi giảm liều nên hạn chế sử dụng, được chỉ định trong một số trường hợp như kháng trị với NSAIDs và Colchicine, bệnh do nguyên nhân tự miễn, trường hợp viêm màng ngoài tim nặng hoặc dai dẳng.
- Nên phòng ngừa xuất huyết tiêu hóa khi sử dụng NSAIDs và Corticosteroid bằng các nhóm thuốc giảm tiết acid như kháng Histamin H2 hoặc ức chế bơm Proton.

Ibuprofen dùng để giảm đau, kháng viêm cho người mắc viêm màng ngoài tim
Điều trị ngoại khoa
Khi viêm màng ngoài tim diễn tiến xấu đã xuất hiện biến chứng thì người bệnh mắc viêm màng ngoài tim có thể cần phải can thiệp phẫu thuật để điều trị bệnh:
- Chọc dò màng ngoài tim: Thủ thuật này được sử dụng khi có biến chứng tràn dịch màng ngoài tim, dùng để loại bỏ lượng dịch dư thừa ra khỏi khoang màng ngoài tim.
- Cắt bỏ màng ngoài tim: Phương pháp này được sử dụng khi xuất hiện biến chứng viêm màng ngoài tim co thắt nhằm loại bỏ lớp màng ngoài tim đã bị xơ hóa do viêm màng ngoài tim.

Chọc dịch màng ngoài tim được chỉ định khi có tràn dịch màng ngoài tim
8Bệnh viêm màng ngoài tim có phòng ngừa có phòng ngừa được không?
Bệnh viêm màng ngoài tim không thể phòng ngừa được nhưng có một số biện pháp giúp ngăn ngừa các đợt cấp của bệnh và sự xuất hiện của các biến chứng như: nghỉ ngơi, vận động nhẹ nhàng tránh các hoạt động mạnh, kích thích.
Thực hiện theo đúng chỉ dẫn của bác sĩ về điều trị thuốc tại nhà, khám định kỳ và tái khám ngay khi triệu chứng trở nặng.

Uống thuốc theo đơn của bác sĩ giúp dự phòng đợt cấp viêm màng ngoài tim
Viêm màng ngoài tim thường không nguy hiểm đến tính mạng nhưng có thể để lại một số biến chứng tim mạch nếu không được điều trị kịp thời như tràn dịch màng ngoài tim, viêm màng ngoài tim co thắt. Mọi người hãy tìm hiểu và chia sẻ thông tin về viêm màng ngoài tim ở bài viết nhé!
Nguồn tham khảo
Xem thêm 