Khô miệng xảy ra khi khoang miệng đang bị thiếu nước bọt. Điều này có thể xuất hiện khi người bệnh dùng một số loại thuốc hoặc mắc một số bệnh mạn tính. Cùng tìm hiểu về triệu chứng khô miệng qua bài viết dưới đây nhé!
1Khô miệng là gì?
Khô miệng là cảm giác do trong khoang miệng đang bị thiếu nước bọt. Thông thường, nước bọt được tạo thành và tiết ra liên tục từ tuyến nước bọt vào khoang miệng, nó có vai trò bôi trơn và làm sạch khoang miệng.
Hiện tượng khô miệng thoáng qua có thể xảy ra khi cơ thể bị mất nước và đây là điều bình thường. Tuy nhiên, nếu tình trạng khô miệng diễn ra thường xuyên và kéo dài thì đó có thể là dấu hiệu bất thường của cơ thể. Nguyên nhân phổ biến nhất gây ra tình trạng khô miệng là tác dụng phụ của một số thuốc như thuốc chống dị ứng, thuốc chống trầm cảm...[1]

Khô miệng xảy ra khi khoang miệng đang bị thiếu nước bọt
2Tại sao uống nhiều nước nhưng vẫn khô miệng?
Nếu bạn vẫn bị khô miệng sau khi uống nhiều nước thì có thể bạn đang mắc chứng khô miệng. Điều này có nghĩa là tuyến nước bọt của bạn đang hoạt động bất thường và không sản xuất đủ nước bọt, dẫn đến miệng bạn vẫn khô ngay cả khi bạn uống nhiều nước.

Khi uống nhiều nước bạn vẫn có thể cảm thấy bị khô miệng
3Nguyên nhân gây khô miệng
Nếu một bất thường nào đó trong cơ thể ảnh hưởng đến chức năng tuyến nước bọt thì chúng đều có khả năng dẫn tới khô miệng, các nguyên nhân thường gặp là:
- Tác dụng phụ của một số loại thuốc: bao gồm cả một số loại thuốc không kê đơn dùng trong điều trị dị ứng, cảm lạnh hoặc một số loại thuốc kê đơn như thuốc tăng huyết áp, thuốc chống trầm cảm.
- Ảnh hưởng của một số bệnh và nhiễm trùng: trong hội chứng Sjogren, đái tháo đường hoặc HIV/AIDS, các tế bào miễn dịch của cơ thể có thể tấn công vào tuyến nước bọt gây tổn thương và ảnh hưởng đến chức năng sản xuất, bài tiết nước bọt.
- Tác dụng phụ của một số phương pháp điều trị y tế: xạ trị và hóa trị vùng đầu mặt cổ có thể gây ảnh hưởng đến cấu trúc và chức năng của tuyến nước bọt.
- Tổn thương thần kinh: tuyến nước bọt hoạt động được nhờ có sự điều phối của não thông qua các sợi dây thần kinh, vì vậy khi liên kết này bị tổn thương có thể làm cho tuyến nước bọt không nhận được tín hiệu sản xuất nước bọt.
- Mất nước: làm tuyến nước bọt giảm sản xuất nước bọt do giảm nguồn cung nguyên liệu tạo nước bọt theo sinh lý, tình trạng này thường chỉ xảy ra thoáng qua.
- Phẫu thuật cắt bỏ tuyến nước bọt: phẫu thuật cắt bỏ tuyến nước bọt có thể làm suy giảm sự bài tiết nước bọt vào khoang miệng.
- Hút thuốc lá: hút thuốc lá có thể làm nặng thêm tình trạng khô miệng sẵn có trên cơ thể người bệnh.

Tác dụng phụ của thuốc chống trầm cảm có thể gây khô miệng
4Các triệu chứng bị khô miệng rát lưỡi
Khô miệng không chỉ gây cảm giác dính và khô ở miệng hoặc cổ họng mà còn đi kèm với nhiều triệu chứng khác. Người bị khô miệng thường có nước bọt đặc hoặc nhầy, môi nứt nẻ, lưỡi trở nên khô ráp hoặc đau rát. Ngoài ra, các triệu chứng của khô miệng còn có thể bao gồm:
- Mất vị giác.
- Cảm giác nóng rát hoặc ngứa ran trong miệng.
- Cổ họng đau.
- Cảm giác khát liên tục.
- Khó khăn khi nói, nhai hoặc nuốt thức ăn.
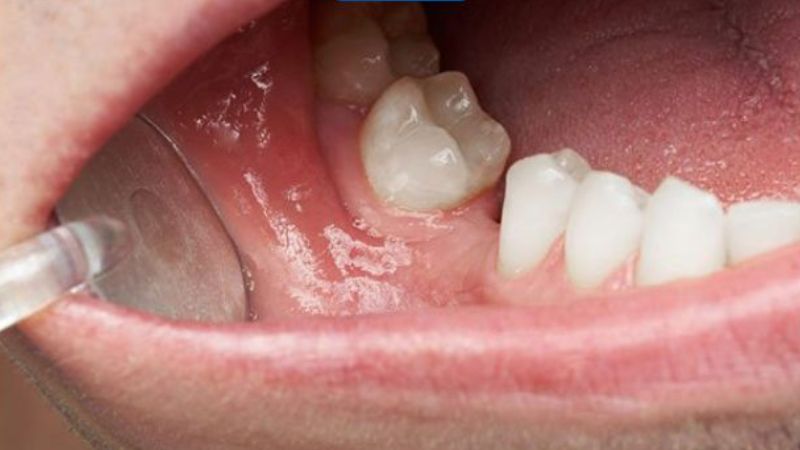
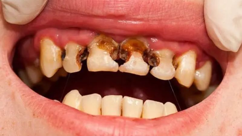
- Các vấn đề về sức khỏe răng miệng như hôi miệng, sâu răng, bệnh nha chu, nấm miệng, lở loét hoặc nhiễm trùng ở răng miệng.[2]

Khi khô miệng nghiêm trọng bạn có thể có cảm giác đau cổ họng
5Bị khô miệng khát nước là bệnh gì?
Khô miệng khát nước là triệu chứng có thể gặp trong nhiều bệnh cảnh khác nhau như hội chứng Sjögren, đái tháo đường kiểm soát kém, HIV/AIDS, bệnh Parkinson, xơ nang hoặc bệnh Alzheimer. Do các bệnh lý này có thể gây tổn thương đa cơ quan, trong đó có thể là tuyến nước bọt.[3]

Hội chứng Sjogren có thể gây khô miệng
6Biến chứng của khô miệng đối với cơ thể
Khô miệng bệnh lý là nghiêm trọng và kéo dài nếu không được điều trị có thể dẫn đến nhiều vấn đề sức khỏe như:
- Viêm loét niêm mạc miệng.
- Khô họng, thực quản, gây viêm và thương tổn đến các cơ quan này.
- Sâu răng nghiêm trọng và lan tỏa, bệnh nha chu và tăng nguy cơ bị nấm miệng.

Viêm loét niêm mạc miệng là biến chứng hay gặp khi khô miệng nghiêm trọng
7Cách chẩn đoán khô miệng
Để chẩn đoán khô miệng, bác sĩ sẽ hỏi người bệnh một số câu hỏi liên quan đến triệu chứng khô miệng, thời điểm khởi phát cũng như tiền sử các bệnh lý kèm theo. Sau đó, bác sĩ sẽ tiến hành khám để phát hiện các triệu chứng như:
- Khô môi và niêm mạc miệng, có thể có teo và xung huyết niêm mạc miệng.
- Các tuyến nước bọt chính giảm hoặc không có khả năng tiết nước bọt, tuyến nước bọt phì đại.
- Không đáp ứng với kích thích nhai hoặc nuốt.
- Các vấn đề về răng miệng có thể liên quan đến tình trạng khô miệng như sâu răng, bệnh nha chu, nấm miệng.

Khô môi và niêm mạc miệng là dấu hiệu quan trọng giúp chẩn đoán khô miệng
8Cách điều trị khô miệng
Điều trị nguyên nhân gây khô miệng
Nguyên nhân phổ biến nhất gây ra tình trạng khô miệng là do tác dụng phụ của một số thuốc. Do đó, người bệnh nên trao đổi với bác sĩ điều trị của mình để giảm liều hoặc đổi sang một loại thuốc khác không có tác dụng phụ khô miệng.
Đối với các trường hợp khô miệng do nguyên nhân không thể thay đổi được như hội chứng SJogren, bệnh Alzheimer. việc điều trị khô miệng dường như chỉ tập trung vào điều trị bệnh chính và sử dụng các phương pháp làm tăng lượng nước bọt để điều trị triệu chứng khô miệng.

Giảm liều hoặc đổi thuốc giúp bạn tránh tác dụng phụ khô miệng
Uống đủ nước
Khi khô miệng, nước bọt có xu hướng đặc và nhầy hơn. Do đó người bệnh nên uống nhiều nước và mang theo nước bên mình để có thể uống khi có cảm giác khô miệng. Điều này giúp giữ ẩm và làm loãng nước bọt, tránh khô miệng.

Uống đủ nước là một yếu tố quan trọng giúp giảm khô miệng
Duy trì sức khỏe răng miệng
Khô miệng có thể dẫn đến nhiều biến chứng về sức khỏe răng miệng, vì vậy người bệnh cần đặc biệt chú ý duy trì sức khỏe răng miệng của bản thân.
Đơn giản nhất là việc đánh răng và vệ sinh răng miệng đúng cách bằng các loại kem đánh răng hoặc nước súc miệng có chứa fluoride, tránh sử dụng nước súc miệng có chứa cồn hoặc peroxide vì những thành phần này có xu hướng làm khô miệng. Đồng thời, tới khám định kì tại nha khoa.

Sử dụng kem đánh răng có chứa fluoride tốt cho người bị khô miệng
Thở bằng mũi
Thở bằng mũi và tránh thở bằng miệng giúp giảm sự thoát nước, giảm độ ẩm trong khoang miệng. Việc thở bằng đường miệng thường xuyên có thể làm nặng thêm tình trạng khô miệng, đặc biệt là khi thời tiết hanh khô.

Hít thở bằng mũi giúp giảm sự thoát nước trong khoang miệng
Dùng thực phẩm hỗ trợ giảm khô miệng
Các loại kẹo ngậm hoặc kẹo cao su không đường có chứa xylitol có thể kích thích tuyến nước bọt tăng tiết nước bọt qua các động tác nhai, mút.
Qua đó làm giảm khô miệng. Ngoài ra, ngậm đá bào hoặc kem không đường cũng có thể mang lại tác dụng tương tự.

Nhai kẹo cao su không đường giúp kích thích tiết nước bọt
9Cách làm giảm khô miệng
Có nhiều cách có thể giúp người bệnh giảm khô miệng, chủ yếu dựa trên nguyên tắc tránh các hoạt động gây khô miệng và tăng cường giữ ẩm, cấp ẩm cho khoang miệng, chẳng hạn như:
- Những điều nên làm: uống đủ nước, nhai hoặc ngậm kẹo không đường, làm ấm và ẩm các thực phẩm bằng nước dùng, sử dụng kem đánh răng có chứa fluoride, dùng máy tạo độ ẩm phòng ngủ, sử dụng nước bọt nhân tạo không kê đơn.
- Những điều nên tránh: ăn các thực phẩm nhiều đường hoặc muối và khô, sử dụng đồ uống có cồn hoặc caffeine, thường xuyên thở bằng miệng, sử dụng kem đánh răng hoặc nước súc miệng có chứa cồn, peroxide.

Người bị khô miệng nên dùng máy tạo độ ẩm phòng ngủ
10Khô miệng khi nào cần điều trị?
Người bệnh nên đến gặp bác sĩ nếu bị khô miệng nghiêm trọng và kéo dài mà không cải thiện khi sử dụng các biện pháp trên hoặc khi có các biểu hiện nặng sau:
- Khô vùng miệng họng, thực quản gây đau, nuốt khó, khàn tiếng, khó nói.
- Khô, nứt môi, miệng và da quanh góc miệng.
- Sâu răng, viêm loét niêm mạc miệng, hơi thở có mùi hôi.

Sâu răng lan tỏa là dấu hiệu cảnh báo người bệnh nên đi gặp bác sĩ
11Cách phòng ngừa khô miệng
Tương tự với cách điều trị khô miệng, bạn có thể phòng ngừa nó bằng cách thực hiện các biện pháp giữ ẩm và cấp ẩm cho khoang miệng, đồng thời tránh các hoạt động gây khô miệng.
Việc phòng ngừa khô miệng nên được thực hiện liên tục và kéo dài nhất là ở những người bệnh mắc các bệnh lý có nguy cơ bị khô miệng như hội chứng Sjogren, tiểu đường kiểm soát kém, HIV/AIDS.

Luôn mang theo nước bên người giúp dự phòng tình trạng khô miệng
Khô miệng nghiêm trọng và kéo dài có thể dẫn tới nhiều vấn đề về sức khỏe răng miệng. Bạn hãy chia sẻ bài viết này tới mọi người nếu thấy hữu ích nhé!
Nguồn tham khảo
Xem thêm 