Cam tẩu mã là một bệnh nhiễm trùng hoại thư cấp tính. Sốt, mệt mỏi, viêm nướu, chảy máu, loét và có dấu hiệu bị hoại tử, từ từ vết loét lan rộng từ nướu, môi, khắp miệng và sang hai má, vào xương hàm, làm cho rụng răng, mũi, và nặng hơn lan dần ra khắp mặt là những triệu chứng của bệnh.
1Bệnh cam tẩu mã là gì?
Bệnh cam tẩu mã (Noma) còn được gọi là nha cam tẩu mã, tị cam, thuần cam hay hàu cam, là một bệnh lý nhiễm trùng hoại tử cấp tính nghiêm trọng vùng đầu mặt, miệng, có tiến triển nhanh chóng và tỉ lệ tử vong cao.[1]
Bệnh cảm tẩu mã chủ yếu ảnh hưởng đến trẻ em từ 2-6 tuổi bị suy dinh dưỡng, sống trong hoàn cảnh nghèo đói với sức khỏe răng miệng kém hay suy giảm miễn dịch. Ngoài ra, bệnh cũng có thể xảy ra ở người trưởng thành bị suy giảm miễn dịch do HIV, bệnh bạch cầu...

Cam tẩu mã là bệnh nhiễm trùng hoại tử nghiêm trọng vùng miệng và đầu mặt
2Nguyên nhân gây bệnh cam tẩu mã
Sự kết hợp giữa suy dinh dưỡng, nhiễm khuẩn và suy giảm miễn dịch được cho là nguyên nhân chính gây ra sự khởi phát và tiến triển bệnh cam tẩu mã. Bên cạnh đó, một số yếu tố nguy cơ khác cũng có thể góp phần làm tăng khả năng mắc bệnh, bao gồm:[2]
- Sống ở các nước kém phát triển, phổ biến là các nước châu Phi cận Sahara.
- Vấn đề vệ sinh môi trường sống, vệ sinh răng miệng kém.
- Thường xuyên tiếp xúc với phân người hoặc động vật.
- Tiền sử nhiễm virus hoặc vi khuẩn.
- Suy giảm miễn dịch do nhiễm HIV, bệnh bạch cầu hoặc ung thư hạch...

Suy dinh dưỡng là nguyên nhân chính mắc cam tẩu mã
3Triệu chứng của bệnh cam tẩu mã
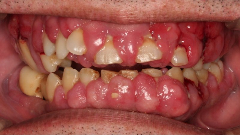
Bệnh cam tẩu mã thường tiến triển nhanh chóng và đột ngột với các triệu chứng điển hình như sưng nướu, sưng má, hình thành vết loét. Các vết loét này nhanh chóng lan rộng và phá hủy các mô, xương ở miệng, xung quanh miệng, gây biến dạng khuôn mặt và mất răng.
Màu sắc khoang miệng có thể chuyển sang màu xám, dịch tiết từ vết loét có mùi hôi thối gây hôi miệng. Đồng thời, điều này cũng gây kích thích tình trạng tiết nước bọt liên tục.

Sưng và loét nướu là triệu chứng phổ biến trong bệnh cam tẩu mã
4Các chẩn đoán phát hiện bệnh
Bệnh cam tẩu mã được chẩn đoán chủ yếu dựa vào các đặc điểm lâm sàng tùy theo từng giai đoạn tiến triển khác nhau của bệnh. Theo tổ chức y tế thế giới (WHO), cam tẩu mã được phân thành 5 giai đoạn bệnh với các biểu hiện đặc trưng sau:
- Giai đoạn 1: là giai đoạn viêm nướu hoạt tử cấp tính với các biểu hiện như hơi thở có mùi hôi, hôi miệng, nướu bị loét gây đau, chảy máu chân răng tự phát, loét liên quan đến một hoặc nhiều kẽ răng, tăng tiết nước bọt.
- Giai đoạn 2: là giai đoạn phù nề, khởi đầu của giai đoạn cấp tính với các triệu chứng chính như mặt sưng, phù nề, khó ăn, hơi thở có mùi hôi, loét lan rộng ở niêm mạc và mô mềm, đau nhức môi hoặc má, tăng tiết nước bọt, có thể kèm theo sốt cao.
- Giai đoạn 3: là giai đoạn hoại tử, người bệnh rơi vào tình trạng nguy hiểm và đe dọa tính mạng với các biểu hiện cấp tính như sự phá hủy mô mềm và xương răng vùng miệng trên diện rộng, trung tâm vết loét có màu đen do hoại tử, bề mặt da vùng môi miệng tương ứng với tổn thương đổi màu xanh đen hoặc có lỗ thủng, mất răng...
- Giai đoạn 4: là giai đoạn sẹo, lúc này bệnh đã ra khỏi tình trạng cấp tính, sẹo bắt đầu hình thành, biểu hiện lộ xương răng và khít hàm có thể xảy ra tùy theo vị trí tổn thương.
- Giai đoạn 5: là giai đoạn di chứng, có biến dạng khuôn miệng và mặt, mất răng hay răng lệch vị trí, khó khăn khi ăn, rò rỉ nước bọt, ảnh hưởng giọng nói, khít hàm có thể xảy ra.

Bệnh cam tẩu mã giai đoạn cấp tính là một trường hợp cấp cứu y tế
5Khi nào cần gặp bác sĩ
Các dấu hiệu cần gặp bác sĩ
Người bệnh là trẻ em suy dinh dưỡng, suy giảm miễn dịch có yếu tố nguy cơ nhiễm khuẩn nên gặp bác sĩ ngay khi có các dấu hiệu nghi ngờ mắc bệnh cam tẩu mã chẳng hạn như:
- Viêm nướu hoại tử, có vết loét nướu gây đau, chảy máu chân răng.
- Tăng tiết nước bọt.
- Hơi thở có mùi hôi.
- Sưng nướu, sưng má.
- Khó ăn.
- Vết loét ở miệng lan rộng hoặc có hoại tử ở trung tâm.
- Hơi thở có mùi hôi, hôi miệng.
- Khoang miệng đổi sang màu xanh đen.

Trẻ suy dinh dưỡng có biểu hiện viêm loét vùng miệng nên được đi khám
Nơi khám chữa bệnh
Nếu gặp các dấu hiệu như trên, bạn có thể đến ngay các cơ sở y tế gần nhất, các bệnh viện chuyên khoa Răng hàm mặt hoặc Truyền nhiễm . Hoặc bất kỳ bệnh viện đa khoa nào tại địa phương để được thăm khám kịp thời.
Ngoài ra, có thể tham khảo một số bệnh viện lớn, uy tín dưới đây để được chẩn đoán và tư vấn điều trị phù hợp, tránh các biến chứng đáng tiếc xảy ra:
- TP. HCM: Bệnh viện Đại học Y Dược TP.HCM, Bệnh viện Nhân dân 115, Bệnh viện Chợ Rẫy...
- Hà Nội: Bệnh viện Bạch Mai, Bệnh viện Trung ương Quân đội 108, Bệnh viện Đại học Y Hà Nội...
6Cách điều trị bệnh cam tẩu mã
Biện pháp điều trị bệnh cam tẩu mã có sự khác nhau tùy thuộc vào giai đoạn cấp tính hay mạn tính (di chứng) của bệnh. Trong điều trị bệnh cấp tính, ba yếu tố chính cần được quan tâm, bao gồm:[3]
- Kháng sinh: thường là amoxicillin và metronidazole kết hợp với chăm sóc vết thương tại chỗ bằng cách cắt lọc tổ chức hoại tử, sát khuẩn, vệ sinh vết thương thường xuyên.
- Dinh dưỡng: cần bổ sung đầy đủ các chất, đặc biệt là protein.
- Điều trị các tình trạng đe dọa tính mạng và bệnh kèm như nhiễm trùng phổi, đường tiêu hóa, HIV...
Điều trị tốt trong giai đoạn cấp tính giúp hạn chế di chứng do bệnh gây ra. Trong giai đoạn mạn tính (di chứng), người bệnh có thể được đề nghị phẫu thuật nhằm cải thiện chức năng và thẩm mỹ của khuôn mặt.

Bổ sung dinh dưỡng là một phần quan trọng trong điêu trị cam tẩu mã
7Cách phòng bệnh cam tẩu mã
Để phòng ngừa tốt bệnh cam tẩu mã, bạn cần chú ý đến các vấn đề về dinh dưỡng, miễn dịch và vệ sinh răng miệng, chẳng hạn như:
- Bổ sung chế độ ăn đầy đủ dưỡng chất để duy trì hệ miễn dịch khỏe mạnh.
- Vệ sinh môi trường sống sạch sẽ, thường xuyên vệ sinh răng miệng,
- Khám nha chu định kỳ hoặc bất cứ khi nào có biểu hiện bất thường răng miệng.
- Quản lý nguy cơ hoặc tuân thủ điều trị khi mắc các bệnh như HIV, sốt rét, bệnh bạch cầu...

Vệ sinh răng miệng thường xuyên giúp phòng ngừa bệnh cam tẩu mã
Bệnh cam tẩu mã chủ yếu ảnh hưởng đến trẻ em suy dinh dưỡng hoặc suy giảm miễn dịch có nguy cơ nhiễm khuẩn cao. Bạn hãy chia sẻ bài viết nếu thấy hữu ích nhé!
Nguồn tham khảo
Xem thêm 