Giao tại:
Giỏ hàng

Đã thêm sản phẩm vào giỏ thuốc

Xem giỏ thuốc
Hotline (8:00 - 21:30) 1900 1572

Chọn tỉnh thành, phường xã để xem chính xác giá và tồn kho

Địa chỉ đã chọn: Thành phố Hồ Chí Minh

Chọn
Trang thông tin điện tử tổng hợp

4 phương pháp xét nghiệm tầm soát ung thư đại tràng mà bạn nên biết

Cập nhật: 01/01/2022
Lượt xem: 624
Thẩm định nội dung bởi

Bác sĩ Lê Hoài Giang

Chuyên khoa: Nội thận

Bác sĩ Lê Hoài Giang sinh năm 1996 hiện đang là bác sĩ điều trị tại khoa Nội thận - Lọc máu Bệnh viện Nguyễn Tri Phương

Ung thư đại tràng là một trong những loại ung thư phổ biến và đang có xu hướng gia tăng tỷ lệ mắc. Trong giai đoạn đầu của bệnh, các triệu chứng thường mơ hồ và chỉ được phát hiện khi làm những xét nghiệm tầm soát. Cùng tìm hiểu về các phương pháp xét nghiệm tầm soát ung thư đại tràng qua bài viết nhé!

1Ung thư đại tràng là gì?

Đại tràng hay ruột già là một phần của ống tiêu hóa, nối từ ruột non đến trực tràng. Nó giữ vai trò quan trọng trong việc hấp thu nước và một phần dinh dưỡng từ thức ăn.[1]

Ung thư đại tràng là loại ung thư có nguồn gốc từ đại tràng. Bệnh có thể xảy ra ở mọi đối tượng nhưng phổ biến hơn ở người lớn tuổi, người có polyp đại tràng, người có tiền sử gia đình mắc ung thư đại tràng hoặc có các yếu tố nguy cơ như béo phì, hút thuốc lá, rượu bia, chế độ ăn ít chất xơ.

Ung thư đại tràng là loại ung thư có nguồn gốc từ đại tràng

Ung thư đại tràng là loại ung thư có nguồn gốc từ đại tràng

2Các biểu hiện của ung thư đại tràng

Ở giai đoạn sớm, ung thư đại tràng thường không có triệu chứng hoặc các triệu chứng mơ hồ và không đặc hiệu, dễ nhầm lẫn với các bệnh lý đường tiêu hóa thông thường.

Những biểu hiện này có thể là rối loạn tiêu hóa như các thời kỳ táo bón xen lẫn tiêu chảy, chướng bụng, mót rặn, phân dẹt, phân không thành khuôn hoặc có máu trong phân.

Ngoài các biểu hiện về đường tiêu hóa, người bệnh mắc ung thư đại tràng còn có thể gặp các tình trạng như mệt mỏi, gầy sút không rõ nguyên nhân. Trong giai đoạn muộn, có thể sờ hoặc nhìn thấy khối u gồ lên ở ổ bụng, hạch nổi ở nhiều nơi, triệu chứng ở các hệ cơ quan khác do di căn.

Người bệnh bị ung thư đại tràng có thể có các đợt tiêu chảy và táo bón xen kẽ, kéo dài

Người bệnh bị ung thư đại tràng có thể có các đợt tiêu chảy và táo bón xen kẽ, kéo dài

3Tầm quan trọng sàng lọc ung thư đại tràng?

Việc phát hiện sớm ung thư đại tràng rất quan trọng vì tỉ lệ chữa khỏi lên đến 90%. Tuy nhiên, ở giai đoạn đầu của bệnh các biểu hiện ít khi rõ ràng nên thường bị bỏ qua và người bệnh hầu như chỉ đến khám khi bệnh đã có triệu chứng và ở giai đoạn muộn.

Do đó, sàng lọc ung thư đại tràng có vai trò quan trọng trong việc tầm soát và chẩn đoán sớm bệnh, nhất là ở những đối tượng có nguy cơ cao.

Đa số các trường hợp ung thư đại tràng thường bắt nguồn từ các polyp đại tràng với thời gian tiến triển thành ung thư trung bình là khoảng 5 - 15 năm.[2]

Các xét nghiệm tầm soát giúp chẩn đoán sớm bệnh ung thư đại tràng khi chưa có triệu chứng

Các xét nghiệm tầm soát giúp chẩn đoán sớm bệnh ung thư đại tràng khi chưa có triệu chứng

4Các phương pháp tầm soát ung thư đại tràng

Xét nghiệm tìm máu ẩn trong phân (FOBT, FIT)

Xét nghiệm tìm máu ẩn trong phân được dùng để kiểm tra sự xuất hiện máu trong phân dù rất ít và mắt thường không thể nhìn thấy hoặc không phân biệt được.

Trong trường hợp phát hiện máu ở trong phân, đó là dấu hiệu gợi ý đến tình trạng tổn thương ống tiêu hóa do loét, polyp hay ung thư. Bác sĩ sẽ yêu cầu người bệnh tiến hành các kiểm tra bổ sung để xác định nguồn gốc gây chảy máu.[3]

Xét nghiệm tìm máu ẩn trong phân giúp phát hiện máu ở trong phân dù rất ít

Xét nghiệm tìm máu ẩn trong phân giúp phát hiện máu ở trong phân dù rất ít

Xét nghiệm DNA trong phân (FIT-DNA)

Xét nghiệm DNA trong phân được thực hiện để tìm kiếm các bất thường DNA liên quan đến ung thư hoặc polyp. Khi kết quả xét nghiệm là dương tính, tức là phát hiện DNA đột biến, bước tiếp theo là tiến hành nội soi đại trực tràng để chẩn đoán.

Để tầm soát ung thư đại tràng có hiệu quả, xét nghiệm này nên được thực hiện mỗi 3 năm một lần, nhất là ở người lớn tuổi và có các yếu tố nguy cơ.

Xét nghiệm DNA trong phân giúp tìm các bất thường DNA về ung thư hoặc polyp

Xét nghiệm DNA trong phân giúp tìm các bất thường DNA về ung thư hoặc polyp

Nội soi đại trực tràng

Nội soi đại tràng định kỳ ở những người từ 50 tuổi trở lên là một biện pháp hiệu quả để phòng ngừa và phát hiện sớm ung thư.

Phương pháp này cho phép quan sát niêm mạc lòng ống tiêu hóa từ hậu môn đến trực tràng và đại tràng, đồng thời kiểm tra những bất thường gợi ý ung thư đại tràng kể cả khi bệnh chưa biểu hiện triệu chứng.

Nội soi đại trực tràng giúp quan sát niêm mạc đại trực tràng

Nội soi đại trực tràng giúp quan sát niêm mạc đại trực tràng

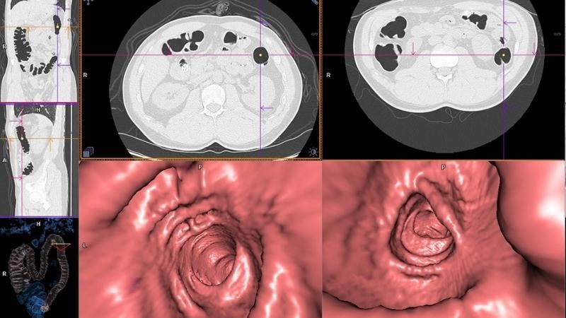
Chụp cắt lớp vi tính đại trực tràng (nội soi đại tràng ảo)

Chụp cắt lớp vi tính đại trực tràng không chỉ cho phép đánh giá được sự xuất hiện của khối u hay các tổ chức bất thường ở đại trực tràng mà còn giúp bác sĩ đánh giá tình trạng xâm lấn của khối u sang các mô, cơ quan xung quanh.

Mặt khác, xét nghiệm này giúp kiểm tra tình trạng hạch ổ bụng và các tạng khác nếu nghi ngờ có di căn ở giai đoạn muộn của ung thư đại tràng.

Chụp cắt lớp vi tính đại trực tràng kết hợp nội soi đại tràng ảo là một xét nghiệm tiên tiến

Chụp cắt lớp vi tính đại trực tràng kết hợp nội soi đại tràng ảo là một xét nghiệm tiên tiến

5Cách đọc các chỉ số xét nghiệm ung thư đại tràng

Cách đọc chỉ số CEA

CEA là một glycoprotein có ở màng bào tương của các tế bào màng nhầy bình thường. Thông thường ở người trưởng thành chỉ số CEA ở trong máu sẽ rất thấp, chỉ khoảng 0 - 5ng/mL.

Tuy nhiên, trong ung thư biểu mô đại tràng CEA sẽ tăng cao trên 10ng/mL. Xét nghiệm này có độ nhạy là 50% và độ đặc hiệu lên đến 90%.

CEA cũng có thể tăng trong các loại ung thư khác như: ung thư dạ dày, ung thư vú, ung thư tuyến tụy, ung thư phổi, ung thư buồng trứng.

Chỉ số CEA thường tăng cao ở người mắc ung thư đại tràng

Chỉ số CEA thường tăng cao ở người mắc ung thư đại tràng

Cách đọc chỉ số CA 19-9

CA 19-9 là một loại protein hiện diện trên bề mặt các tế bào ung thư, do đó CA 19-9 được xem là một chất chỉ điểm khối u được sử dụng trong tầm soát ung thư đại tràng.

Ở người bình thường, giá trị của chỉ số CA 19-9 trong máu thường dưới 37U/mL. Trong trường hợp kết quả chỉ số CA 19-9 lớn hơn 37U/mL thì tùy vào bệnh cảnh cụ thể mà nó có thể gợi ý tình trạng mắc ung thư đại tràng ở người bệnh.

Trong tầm soát ung thư đại tràng, xét nghiệm CA 19-9 có độ nhạy thấp hơn xét nghiệm CEA vì còn tùy thuộc vào giai đoạn của bệnh. Tuy nhiên, khi kết hợp cùng với nhau, 2 xét nghiệm này cũng góp phần phát hiện, đánh giá ung thư đại tràng khi các chỉ điểm không rõ ràng.

Chỉ số CA 19-9 thường tăng cao trong bệnh ung thư đại tràng

Chỉ số CA 19-9 thường tăng cao trong bệnh ung thư đại tràng

6Những ai nên tầm soát ung thư đại tràng?

Ung thư đại tràng là một trong những loại ung thư phổ biến nhất hiện nay. Bệnh có thể xuất hiện ở cả những người khỏe mạnh và không gây ra bất kỳ dấu hiệu nào trong giai đoạn đầu của bệnh.

Vì vậy, mọi người nên tầm soát ung thư đại tràng định kỳ để chủ động bảo vệ và chăm sóc sức khỏe của bản thân, nhất là ở những đối tượng có nguy cơ cao mắc bệnh như:

  • Người lớn từ trên 50 tuổi.
  • Có tiền sử mắc các bệnh như ung thư đại tràng, viêm loét đại tràng hoặc polyp đại tràng.
  • Có người thân trong gia đình có tiền sử mắc các bệnh ung thư liên quan đến đại tràng, dạ dày.
  • Bị tiêu chảy và táo bón, sụt cân nhanh, phân dẹt không thành khuôn, xuất hiện máu trong phân và các biểu hiện này xuất hiện thường xuyên, kéo dài mà không rõ lí do.
  • Nhìn hoặc sờ thấy khối u vùng bụng.
  • Người thường xuyên phải tiếp xúc với chất phóng xạ, chiếu xạ tại vùng bụng hoặc vùng chậu khi điều trị ung thư trước đó.

Người có tiền sử gia đình mắc ung thư đại tràng nên được tầm soát ung thư đại tràng

Người có tiền sử gia đình mắc ung thư đại tràng nên được tầm soát ung thư đại tràng

7Nơi tầm soát ung thư uy tín

Khi có dấu hiệu nghi ngờ mắc ung thư đại tràng hoặc có nhu cầu làm các xét nghiệm tầm soát ung thư đại tràng, bạn có thể đến kiểm tra tại các bệnh viện chuyên khoa Ung bướu.

Hoặc có thể tham khảo một số bệnh viện lớn dưới đây để được tầm soát, chẩn đoán và tư vấn điều trị phù hợp, tránh các biến chứng đáng tiếc xảy ra:

  • Tại TP.HCM: Bệnh viện Ung bướu TP.HCM, Trung tâm HECI Chợ Rẫy, Phòng khám Đại học Y dược 1.
  • Tại Hà Nội: Bệnh viện Ung bướu Hưng Việt, Bệnh viện Đa khoa Hà Nội, Bệnh viện Đa khoa Phương Đông.

Các xét nghiệm và phương pháp sàng lọc ung thư đại tràng rất quan trọng để chúng ta có thể phát hiện sớm và cải thiện cơ hội chữa khỏi bệnh. Bạn hãy chia sẻ bài viết tới mọi người nếu thấy hữu ích nhé!

Nguồn tham khảo

Xem thêm

Phan Hữu Xuân Hạo
02/01/2022 08:00:00
Theo Gia đình mới

Xem nguồn

Link bài gốc

Lấy link!
Banner đầu bài tin - medpro

Các bài tin liên quan

widget

Chat Zalo(8h00 - 21h30)

widget

1900 1572(8h00 - 21h30)