Tràn dịch màng phổi là tình trạng chất lỏng tích tụ trong khoang màng phổi gây ra khó thở và làm giảm khả năng lấy oxy của phổi. Tình trạng này có thể dẫn đến nhiều biến chứng nghiêm trọng như phù phổi, xẹp phổi hay mủ màng phổi. Hãy cùng tìm hiểu về nguyên nhân, biến chứng và cách điều trị tràn dịch màng phổi qua bài viết dưới đây nhé!
1Tràn dịch màng phổi là gì?
Bệnh tràn dịch màng phổi hay còn gọi hội chứng tràn dịch màng phổi, là tình trạng tích tụ chất lỏng (có thể là dịch hoặc máu) trong khoang trống giữa 2 màng phổi (màng phổi thành và màng phổi tạng) vượt quá mức cho phép. [1]
Đây là một tình trạng nguy hiểm đòi hỏi phải được chẩn đoán và điều trị kịp thời để tránh các biến chứng nghiêm trọng như phù phổi, xẹp phổi hay mủ màng phổi.

Tràn dịch màng phổi là tình trạng một lượng lớn chất lỏng tích tụ trong các mô và khoang trong phổi
2Nguyên nhân gây tràn dịch màn phổi
Bệnh ung thư
Ung thư phổi, phế quản, màng phổi tiên phát hay do di căn đều gây ảnh hưởng đến quá trình thoát nước của màng phổi.
Các tế bào ung thư sẽ xâm lấn khoang màng phổi làm tăng lượng chất lỏng trong khoang màng phổi, tích tụ lại nhiều hơn từ đó dẫn đến phổi bị tràn dịch.[2]
Nhiễm trùng
Hệ thống miễn dịch đối phó với các tác nhân gây hại bằng cách giải phóng các chất gây viêm như cytokine, chemokine.
Những chất này có thể kích thích các tế bào trong màng phổi tạo ra chất lỏng, giúp bảo vệ màng phổi và ngăn ngừa sự lan rộng của nhiễm trùng.
Tuy nhiên, quá trình này có thể làm tăng tính thấm mao mạch phổi do tác động của các chất gây viêm dẫn đến tích tụ lượng lớn chất lỏng trong màng phổi, gây ra tràn dịch màng phổi.
Các bệnh tự miễn
Bệnh tự miễn xảy ra khi hệ thống miễn dịch mất khả năng phân biệt tế bào cơ thể với chất có hại. Từ đó dẫn đến hệ thống miễn dịch tấn công nhầm vào tế bào khỏe mạnh và màng phổi là cơ quan dễ bị ảnh hưởng. Phản ứng viêm làm tích tụ chất lỏng và gây tràn dịch màng phổi.
Thuyên tắc phổi
Đây là tình trạng tắc nghẽn động mạch và mao mạch phổi, ảnh hưởng đến quá trình trao đổi khí và lưu thông máu. Áp lực trong mạch máu tăng cao làm ứ đọng chất lỏng tại khoang màng phổi gây tràn dịch màng phổi.

Thuyên tắc phổi gây làm tắc nghẽn quá trình trao đổi khí và lưu thông máu tại phổi
Các bệnh lý khác
Tràn dịch màng phổi có thể là biến chứng của nhiều bệnh lý khác như:
- Suy tim: chức năng tim suy giảm khiến tim không bơm tống máu hết, từ đó làm máu bị ứ lại trong phổi và dịch thoát khỏi mạch máu đi vào khoang phổi gây ra tràn dịch ở phổi.
- Xơ gan cổ trướng: Dịch cổ trướng thấm vào khoang màng phổi thông qua lỗ cơ hoành. Xơ gan cũng làm giảm albumin máu dẫn đến giảm áp lực keo huyết tương, giảm khả năng giữ nước trong mạch máu, tạo điều kiện cho tràn dịch màng phổi xuất hiện dễ dàng hơn.
- Hội chứng thận hư: Giảm áp lực thể tích trong lòng mạch cộng với tăng thể tích tuần hoàn gây ra tràn dịch vào khoang màng phổi.
- Thận ứ nước: Trào ngược nước tiểu qua tách khoang sau phúc mạc và khoang màng phổi gây ra tràn nước tiểu khoang màng phổi.
- Bệnh lao: Tràn dịch do phản ứng quá mẫn với protein lao.
3Triệu chứng của tràn dịch màn phổi
Các triệu chứng thường gặp khi mắc bệnh tràn dịch màng phổi:
4Biến chứng của tràn dịch màn phổi
Biến chứng nghiêm trọng có thể gặp khi bị tràn dịch màng phổi bao gồm:
- Tràn dịch màng phổi cấp tính nếu không được xử lý kịp thời có thể gây tử vong do chèn ép phổi, giảm khả năng hô hấp gây thiếu oxy.
- Phù phổi, dịch trong phổi: Do dịch thoát ra quá nhanh trong quá trình chọc dò lồng ngực.
- Xẹp phổi: Lượng dịch tích tụ trong khoang màng phổi tạo nên một áp lực cản trở, không cho dòng khí huyết lưu thông tới các phế nang trong phổi gây xẹp phổi.
- Nhiễm trùng hoặc chảy máu: Tràn dịch màng phổi là điều kiện thuận lợi cho vi khuẩn phát triển và có thể dẫn đến nhiễm trùng. Bên cạnh đó, các mao mạch máu phổi bị tổn thương do áp lực để lại từ tràn dịch có thể dẫn đến chảy máu.
- Mủ màng phổi: Tình trạng này là do sự tổn thương và viêm của màng phổi liền kề gây ra sự tích tụ mủ và chất lỏng trong khoang phổi.
5Cách chẩn đoán bệnh
Khám lâm sàng giai đoạn đầu có thể có tiếng cọ màng phổi, giai đoạn sau có hội chứng 3 giảm rõ: rì rào phế nang giảm, rung thanh giảm, gõ đục.
Các xét nghiệm và chẩn đoán hình ảnh thường được sử dụng để chẩn đoán và đánh giá tràn dịch màng phổi bao gồm:[3]
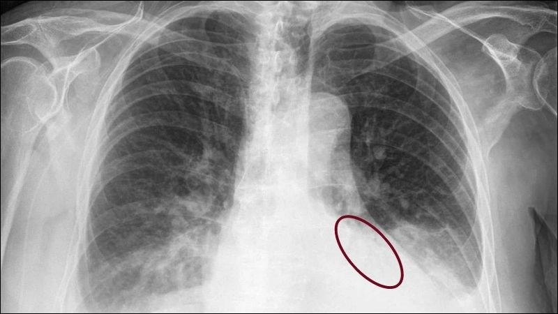
- X-quang ngực: Đây là phương pháp chẩn đoán hình ảnh thường dùng nhất để kiểm tra sự tồn tại của dịch trong khoang màng phổi.
- Xét nghiệm dịch màng phổi: Nhằm xác định chính xác loại dịch, máu hay mủ.
- Chụp CT mạch: Xác định sự tồn tại của dịch trong khoang màng phổi một cách chính xác hơn và đánh giá mức độ bị ảnh hưởng của phổi.
- Chọc dò lồng ngực: Thu dịch từ khoang màng phổi với mục đích xét nghiệm, đánh giá tính chất dịch và khả năng gây ra các biến chứng.
- Siêu âm ngực: Nhằm xác định sự tồn tại của dịch trong khoang màng phổi và đánh giá mức độ bị tổn thương của phổi.
- Nội soi màng phổi có sinh thiết: đưa vào khoang màng phổi một camera để kiểm tra, quan sát màng phổi và đánh giá những tổn thương của màng phổi.
- Sau đó, bác sĩ dùng kìm sinh thiết để tiến hành sinh thiết mô màng phổi làm xét nghiệm mô bệnh học để chẩn đoán nguyên nhân.

Các xét nghiệm hình ảnh lồng ngực rất có ý nghĩa trong chẩn đoán tràn dịch màng phổi
6Khi nào cần gặp bác sĩ?
Các dấu hiệu cần gặp bác sĩ
Để ngăn chặn các biến chứng nặng có thể xảy ra, người bệnh cần đi khám bác sĩ ngay lập tức khi phát hiện các triệu chứng bất thường sau:
- Khó thở, ho, đau ngực kéo dài và không thuyên giảm.
- Mệt mỏi, khó chịu, buồn nôn, chán ăn.
- Vết thương dễ bị nhiễm trùng.
Việc điều trị tràn dịch màng phổi kịp thời và hiệu quả là rất quan trọng để ngăn ngừa các biến chứng nghiêm trọng như xẹp phổi và suy hô hấp.
Nơi khám chữa bệnh tràn dịch màng phổi
Nếu gặp các dấu hiệu như trên, bạn có thể đến ngay các cơ sở y tế gần nhất, các bệnh viện chuyên khoa Hô hấp, Nội. Hoặc bất kỳ bệnh viện đa khoa nào tại địa phương để được thăm khám kịp thời.
Ngoài ra, có thể tham khảo một số bệnh viện lớn, uy tín dưới đây để được chẩn đoán và tư vấn điều trị phù hợp, tránh các biến chứng đáng tiếc xảy ra:
- Tp. Hồ Chí Minh: Bệnh viện Ung Bướu TP.HCM, Bệnh viện Chợ Rẫy, Bệnh Viện Đại học Y Dược TP.HCM...
- Hà Nội: Bệnh viện Bạch Mai, Bệnh viện Đại học Y Hà Nội, Bệnh viện K - Hà Nội...
7Các phương pháp chữa bệnh tràn dịch màng phổi
Tràn dịch màng phổi là một bệnh lý nghiêm trọng và cần được chữa trị ngay lập tức để đảm bảo sức khỏe cho bệnh nhân. Dưới đây là các phương pháp chữa bệnh tràn dịch màng phổi:
- Chọc hút màng phổi: Thủ thuật này được thực hiện bằng cách sử dụng kim tiêm hút dịch hoặc khí trong khoang màng phổi ra ngoài, giúp giảm bớt áp lực và cải thiện triệu chứng của bệnh.
- Dẫn lưu màng phổi: Nếu lượng dịch trong màng phổi vẫn ở mức độ chấp nhận được và không gây ra các triệu chứng nghiêm trọng cho bệnh nhân thì dẫn lưu màng phổi có thể là phương pháp phù hợp.
- Sử dụng thuốc: Thuốc lợi tiểu và các thuốc điều trị suy tim được sử dụng để điều trị tràn dịch màng phổi do suy tim sung huyết hoặc các nguyên nhân khác. Thuốc kháng sinh có thể được sử dụng khi có dấu hiệu nhiễm khuẩn, thuốc kháng lao nếu nguyên nhân là bệnh lao và hóa trị liệu nếu xác định tràn dịch màng phổi do ung thư.
- Phẫu thuật: Khi bệnh nhân không đáp ứng với các phương pháp điều trị trên, bác sĩ có thể sẽ thực hiện nội soi lồng ngực hoặc phẫu thuật lồng ngực nhằm xử lý các tế bào bị tổn thương.

Dẫn lưu màng phổi là phương pháp điều trị thường gặp trong bệnh tràn dịch màng phổi
8Biện pháp phòng ngừa
Duy trì một lối sống lành mạnh sẽ giúp bạn nâng cao sức đề kháng, giảm thiểu nguy cơ mắc tràn dịch màng phổi và các chứng bệnh khác:
- Ăn uống lành mạnh: Xây dựng chế độ ăn uống lành mạnh và cân bằng với nhiều rau, trái cây, protein nạc. Hạn chế đường, chất béo và rượu đồng thời duy trì cân nặng hợp lý.
- Tăng cường tập thể thao: Huyết áp cao làm tăng nguy cơ tràn dịch màng phổi. Tập thể dục có thể giúp ổn định huyết áp, giảm căng thẳng và lo lắng đồng thời cải thiện sức khỏe thể chất và tinh thần.
- Duy trì lối sống lành mạnh: Sinh hoạt điều độ, ăn uống đúng giờ, đủ bữa, đi ngủ sớm và dậy sớm tránh phá vỡ nhịp sinh học tự nhiên. Bỏ thuốc lá hoặc hạn chế tiếp xúc với môi trường có người hút thuốc. Hạn chế làm việc, sinh hoạt ở nơi có môi trường ô nhiễm, cải thiện môi trường sống.
- Duy trì lối sống lành mạnh: Sinh hoạt điều độ, ăn uống đúng giờ, đủ bữa, đi ngủ sớm và dậy sớm tránh phá vỡ nhịp sinh học tự nhiên.
- Kiểm tra sức khỏe thường xuyên: Bạn nên khám sức khỏe 6 tháng/lần để phát hiện sớm các bệnh lý bất thường và có phương án điều trị kịp thời.
- Cách ly, giữ khoảng cách an toàn hoặc dùng thuốc dự phòng khi tiếp xúc với bệnh nhân bị lao.

Duy trì lối sống lành mạnh sẽ giúp bạn phòng ngừa nhiều chứng bệnh nguy hiểm
Bài viết vừa rồi đã cung cấp đến bạn những nguyên nhân, biến chứng và cách điều trị tràn dịch màng phổi. Nếu bạn thấy thông tin này hữu ích thì hãy chia sẻ để mọi người cùng biết thêm nhiều kiến thức bổ ích về bệnh nhé!
Nguồn tham khảo
Xem thêm 